新浪微博
关注微信
注册
登陆
阴阳平衡
中医健康之道
做福人世
♥焦磷酸钙沉积病
♥疾病病因
♥疾病症状
♥检查化验
♥诊断
♥鉴别诊断
♥并发症
♥预防保健
♥治疗用药
中医健道首页
>>焦磷酸钙沉积病概述
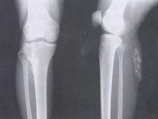
焦磷酸钙沉积病,是一种累及关节及其他运动系统的,与二水焦磷酸钙(calcium pyrophosphate sedimentation,CPPS)晶体沉积有关的晶体性关节病,因此,又称之为焦磷酸关节病。
【۩相关文章】
【☺用户提问】
焦磷酸钙沉积病是什么病?
什么叫做焦磷酸钙沉积病?
焦磷酸钙沉积病如何治疗?
焦磷酸钙沉积病怎么预防?
焦磷酸钙沉积病病因是什么?
焦磷酸钙沉积病吃什么药好?
焦磷酸钙沉积病吃什么好的快?
如何让焦磷酸钙沉积病好的快?
中医如何治疗焦磷酸钙沉积病?
西医如何治疗焦磷酸钙沉积病?
得了焦磷酸钙沉积病怎么办 需要怎么做?
吃什么食物对焦磷酸钙沉积病有好处?
焦磷酸钙沉积病的原因是什么?
人为什么会得焦磷酸钙沉积病?
焦磷酸钙沉积病要注意些什么?
焦磷酸钙沉积病要多久才能好?
焦磷酸钙沉积病严重,会导致什么?
怎么才能让焦磷酸钙沉积病快点好?
焦磷酸钙沉积病应该怎样做才能好得快?
焦磷酸钙沉积病不能吃那些东西?
焦磷酸钙沉积病了怎么样才能好受点?
如何才能快速的治愈焦磷酸钙沉积病?
焦磷酸钙沉积病有多少种?
焦磷酸钙沉积病时吃什么水果好?
焦磷酸钙沉积病需要注意些什么?
焦磷酸钙沉积病煲什么烫好吃
如何快速有效的治疗焦磷酸钙沉积病?
焦磷酸钙沉积病分哪几种类型?
如何防止焦磷酸钙沉积病?
什么偏方对焦磷酸钙沉积病 有用
得了焦磷酸钙沉积病有什么小秘方
什么药方对焦磷酸钙沉积病 有用
长期焦磷酸钙沉积病不好 怎么解决
焦磷酸钙沉积病吃药好还是自然痊愈好?
各种焦磷酸钙沉积病症状和常识用药
焦磷酸钙沉积病后要吃些什么?注意些什么?
۩ 焦磷酸钙沉积病
۞ 焦磷酸钙沉积病的概述
۞ 焦磷酸钙沉积病的疾病病因
۞ 焦磷酸钙沉积病的疾病症状
۞ 焦磷酸钙沉积病的检查化验
۞ 焦磷酸钙沉积病的诊断
۞ 焦磷酸钙沉积病的鉴别诊断
۞ 焦磷酸钙沉积病的并发症
۞ 焦磷酸钙沉积病的预防保健
۞ 焦磷酸钙沉积病的治疗用药
中医首页
疾病大全
药方功能
中医养生
中医药库
古今名医
中医医案
中医常识
中医问答
中医养生有道
中医白领养生
中医男人养生
中医女人养生
中医延年益寿
中医少儿益智
中医春季养生
中医夏季养生
中医秋季养生
中医冬季养生
中医美容
美容有方
明星美容秘方
中医祛斑
中医祛皱
中医祛痘
中医护发
中医美乳丰胸
中医美白
药膳食疗
食之有味
四季食疗
性福药膳
疾病食疗
美容药膳
减肥药膳
药粥
药酒
药茶
煲汤
中医减肥
中药减肥
针灸减肥
脐疗减肥
埋线减肥
小儿推拿
三伏天灸
动态前沿
误区提醒
针灸推拿
针刺艾灸
推拿按摩
刮痧
拔罐
耳穴奇谈
针灸美容
针灸减肥
疾病针灸
特色脐疗
望闻问切
四诊合参
小儿四诊
望神观色
五官五轮
听声闻味
百问其症
指上谈病
舌象图解
悬丝诊脉
© 2015-2016 vjvd.com All Rights Reserved.