新浪微博
关注微信
注册
登陆
阴阳平衡
中医健康之道
做福人世
♥髋关节前脱位
♥概述
♥病因
♥检查
♥临床表现
♥诊断
♥并发症
♥诊断
♥治疗
中医健道首页
>>髋关节前脱位概述
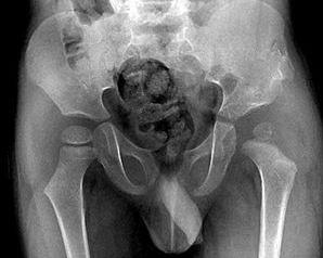
当髋关节外展外旋和屈曲位时,股骨头在髋臼的前缘,在膝部暴力由前向后,关节囊的前方被撕裂,股骨头经髂股韧带和耻股韧带间破口处脱向前方。位于闭孔前,又称闭孔脱位。有时压迫闭孔神经。另外当髋关节在过度外展时,小粗隆后方受到向前的暴力也可发生前脱位。患肢的畸形很明显地呈外展外旋屈曲位,下肢伸长,在腹股沟或闭孔前方可扪到股骨头,髋关节活动功能丧失。X线片检查股骨头向内侧移位,严重的可达闭孔前方。侧位片股骨头向前方移位。这种损伤因前方主要为韧带保护,骨折极少。
【۩相关文章】
【☺用户提问】
髋关节前脱位是什么病?
什么叫做髋关节前脱位?
髋关节前脱位如何治疗?
髋关节前脱位怎么预防?
髋关节前脱位病因是什么?
髋关节前脱位吃什么药好?
髋关节前脱位吃什么好的快?
如何让髋关节前脱位好的快?
中医如何治疗髋关节前脱位?
西医如何治疗髋关节前脱位?
得了髋关节前脱位怎么办 需要怎么做?
吃什么食物对髋关节前脱位有好处?
髋关节前脱位的原因是什么?
人为什么会得髋关节前脱位?
髋关节前脱位要注意些什么?
髋关节前脱位要多久才能好?
髋关节前脱位严重,会导致什么?
怎么才能让髋关节前脱位快点好?
髋关节前脱位应该怎样做才能好得快?
髋关节前脱位不能吃那些东西?
髋关节前脱位了怎么样才能好受点?
如何才能快速的治愈髋关节前脱位?
髋关节前脱位有多少种?
髋关节前脱位时吃什么水果好?
髋关节前脱位需要注意些什么?
髋关节前脱位煲什么烫好吃
如何快速有效的治疗髋关节前脱位?
髋关节前脱位分哪几种类型?
如何防止髋关节前脱位?
什么偏方对髋关节前脱位 有用
得了髋关节前脱位有什么小秘方
什么药方对髋关节前脱位 有用
长期髋关节前脱位不好 怎么解决
髋关节前脱位吃药好还是自然痊愈好?
各种髋关节前脱位症状和常识用药
髋关节前脱位后要吃些什么?注意些什么?
۩ 髋关节前脱位
۞ 髋关节前脱位的概述
۞ 髋关节前脱位的概述
۞ 髋关节前脱位的病因
۞ 髋关节前脱位的检查
۞ 髋关节前脱位的临床表现
۞ 髋关节前脱位的诊断
۞ 髋关节前脱位的并发症
۞ 髋关节前脱位的诊断
۞ 髋关节前脱位的治疗
中医首页
疾病大全
药方功能
中医养生
中医药库
古今名医
中医医案
中医常识
中医问答
中医养生有道
中医白领养生
中医男人养生
中医女人养生
中医延年益寿
中医少儿益智
中医春季养生
中医夏季养生
中医秋季养生
中医冬季养生
中医美容
美容有方
明星美容秘方
中医祛斑
中医祛皱
中医祛痘
中医护发
中医美乳丰胸
中医美白
药膳食疗
食之有味
四季食疗
性福药膳
疾病食疗
美容药膳
减肥药膳
药粥
药酒
药茶
煲汤
中医减肥
中药减肥
针灸减肥
脐疗减肥
埋线减肥
小儿推拿
三伏天灸
动态前沿
误区提醒
针灸推拿
针刺艾灸
推拿按摩
刮痧
拔罐
耳穴奇谈
针灸美容
针灸减肥
疾病针灸
特色脐疗
望闻问切
四诊合参
小儿四诊
望神观色
五官五轮
听声闻味
百问其症
指上谈病
舌象图解
悬丝诊脉
© 2015-2016 vjvd.com All Rights Reserved.