新浪微博
关注微信
注册
登陆
阴阳平衡
中医健康之道
做福人世
♥跖骨头骨软骨病
♥概述
♥病理病因
♥临床表现
♥相关检查
♥诊断鉴别
♥疾病治疗
♥预防护理
中医健道首页
>>跖骨头骨软骨病概述
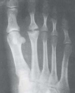
跖骨头骨软骨病是发生在跖骨头骨的无菌性坏死。多发生在15-16岁青少年,女性更常见。偶见于成年。坏死常发生在第二跖骨头,偶见于第三跖骨头。根据X线检查,可分为早、中、晚三期:早期表现为跖骨头骨骺致密,边缘不齐;中期为骨骺碎裂,关节间隙增宽;晚期关节腔变窄,变平,骨质硬化,关节内有游离体,出现退行性关节病变。
【۩相关文章】
【☺用户提问】
跖骨头骨软骨病是什么病?
什么叫做跖骨头骨软骨病?
跖骨头骨软骨病如何治疗?
跖骨头骨软骨病怎么预防?
跖骨头骨软骨病病因是什么?
跖骨头骨软骨病吃什么药好?
跖骨头骨软骨病吃什么好的快?
如何让跖骨头骨软骨病好的快?
中医如何治疗跖骨头骨软骨病?
西医如何治疗跖骨头骨软骨病?
得了跖骨头骨软骨病怎么办 需要怎么做?
吃什么食物对跖骨头骨软骨病有好处?
跖骨头骨软骨病的原因是什么?
人为什么会得跖骨头骨软骨病?
跖骨头骨软骨病要注意些什么?
跖骨头骨软骨病要多久才能好?
跖骨头骨软骨病严重,会导致什么?
怎么才能让跖骨头骨软骨病快点好?
跖骨头骨软骨病应该怎样做才能好得快?
跖骨头骨软骨病不能吃那些东西?
跖骨头骨软骨病了怎么样才能好受点?
如何才能快速的治愈跖骨头骨软骨病?
跖骨头骨软骨病有多少种?
跖骨头骨软骨病时吃什么水果好?
跖骨头骨软骨病需要注意些什么?
跖骨头骨软骨病煲什么烫好吃
如何快速有效的治疗跖骨头骨软骨病?
跖骨头骨软骨病分哪几种类型?
如何防止跖骨头骨软骨病?
什么偏方对跖骨头骨软骨病 有用
得了跖骨头骨软骨病有什么小秘方
什么药方对跖骨头骨软骨病 有用
长期跖骨头骨软骨病不好 怎么解决
跖骨头骨软骨病吃药好还是自然痊愈好?
各种跖骨头骨软骨病症状和常识用药
跖骨头骨软骨病后要吃些什么?注意些什么?
۩ 跖骨头骨软骨病
۞ 跖骨头骨软骨病的概述
۞ 跖骨头骨软骨病的概述
۞ 跖骨头骨软骨病的病理病因
۞ 跖骨头骨软骨病的临床表现
۞ 跖骨头骨软骨病的相关检查
۞ 跖骨头骨软骨病的诊断鉴别
۞ 跖骨头骨软骨病的疾病治疗
۞ 跖骨头骨软骨病的预防护理
中医首页
疾病大全
药方功能
中医养生
中医药库
古今名医
中医医案
中医常识
中医问答
中医养生有道
中医白领养生
中医男人养生
中医女人养生
中医延年益寿
中医少儿益智
中医春季养生
中医夏季养生
中医秋季养生
中医冬季养生
中医美容
美容有方
明星美容秘方
中医祛斑
中医祛皱
中医祛痘
中医护发
中医美乳丰胸
中医美白
药膳食疗
食之有味
四季食疗
性福药膳
疾病食疗
美容药膳
减肥药膳
药粥
药酒
药茶
煲汤
中医减肥
中药减肥
针灸减肥
脐疗减肥
埋线减肥
小儿推拿
三伏天灸
动态前沿
误区提醒
针灸推拿
针刺艾灸
推拿按摩
刮痧
拔罐
耳穴奇谈
针灸美容
针灸减肥
疾病针灸
特色脐疗
望闻问切
四诊合参
小儿四诊
望神观色
五官五轮
听声闻味
百问其症
指上谈病
舌象图解
悬丝诊脉
© 2015-2016 vjvd.com All Rights Reserved.