新浪微博
关注微信
注册
登陆
阴阳平衡
中医健康之道
做福人世
♥致密性骨发育障碍
♥病因
♥症状
♥诊断
♥检查
♥并发症
♥治疗
♥饮食
中医健道首页
>>致密性骨发育障碍概述
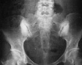
致密性骨发育障碍(condensing osteodysplasty)为常染色体显性遗传性疾病,过去许多学者只认为它是一种侏儒,以后,由于全身性骨骼硬化和锁骨发育不全,Palmar等认为其是骨硬化的一种,或称为锁骨颅骨发育不全。从组织学看来,软骨的超微结构显示软骨细胞内有异常包涵体。
【۩相关文章】
【☺用户提问】
致密性骨发育障碍是什么病?
什么叫做致密性骨发育障碍?
致密性骨发育障碍如何治疗?
致密性骨发育障碍怎么预防?
致密性骨发育障碍病因是什么?
致密性骨发育障碍吃什么药好?
致密性骨发育障碍吃什么好的快?
如何让致密性骨发育障碍好的快?
中医如何治疗致密性骨发育障碍?
西医如何治疗致密性骨发育障碍?
得了致密性骨发育障碍怎么办 需要怎么做?
吃什么食物对致密性骨发育障碍有好处?
致密性骨发育障碍的原因是什么?
人为什么会得致密性骨发育障碍?
致密性骨发育障碍要注意些什么?
致密性骨发育障碍要多久才能好?
致密性骨发育障碍严重,会导致什么?
怎么才能让致密性骨发育障碍快点好?
致密性骨发育障碍应该怎样做才能好得快?
致密性骨发育障碍不能吃那些东西?
致密性骨发育障碍了怎么样才能好受点?
如何才能快速的治愈致密性骨发育障碍?
致密性骨发育障碍有多少种?
致密性骨发育障碍时吃什么水果好?
致密性骨发育障碍需要注意些什么?
致密性骨发育障碍煲什么烫好吃
如何快速有效的治疗致密性骨发育障碍?
致密性骨发育障碍分哪几种类型?
如何防止致密性骨发育障碍?
什么偏方对致密性骨发育障碍 有用
得了致密性骨发育障碍有什么小秘方
什么药方对致密性骨发育障碍 有用
长期致密性骨发育障碍不好 怎么解决
致密性骨发育障碍吃药好还是自然痊愈好?
各种致密性骨发育障碍症状和常识用药
致密性骨发育障碍后要吃些什么?注意些什么?
۩ 致密性骨发育障碍
۞ 致密性骨发育障碍的概述
۞ 致密性骨发育障碍的病因
۞ 致密性骨发育障碍的症状
۞ 致密性骨发育障碍的诊断
۞ 致密性骨发育障碍的检查
۞ 致密性骨发育障碍的并发症
۞ 致密性骨发育障碍的治疗
۞ 致密性骨发育障碍的饮食
中医首页
疾病大全
药方功能
中医养生
中医药库
古今名医
中医医案
中医常识
中医问答
中医养生有道
中医白领养生
中医男人养生
中医女人养生
中医延年益寿
中医少儿益智
中医春季养生
中医夏季养生
中医秋季养生
中医冬季养生
中医美容
美容有方
明星美容秘方
中医祛斑
中医祛皱
中医祛痘
中医护发
中医美乳丰胸
中医美白
药膳食疗
食之有味
四季食疗
性福药膳
疾病食疗
美容药膳
减肥药膳
药粥
药酒
药茶
煲汤
中医减肥
中药减肥
针灸减肥
脐疗减肥
埋线减肥
小儿推拿
三伏天灸
动态前沿
误区提醒
针灸推拿
针刺艾灸
推拿按摩
刮痧
拔罐
耳穴奇谈
针灸美容
针灸减肥
疾病针灸
特色脐疗
望闻问切
四诊合参
小儿四诊
望神观色
五官五轮
听声闻味
百问其症
指上谈病
舌象图解
悬丝诊脉
© 2015-2016 vjvd.com All Rights Reserved.