新浪微博
关注微信
注册
登陆
阴阳平衡
中医健康之道
做福人世
♥耳源性脑膜炎
♥概述
♥病因
♥临床表现
♥鉴别
♥并发症
♥治疗
♥预防保健
中医健道首页
>>耳源性脑膜炎概述
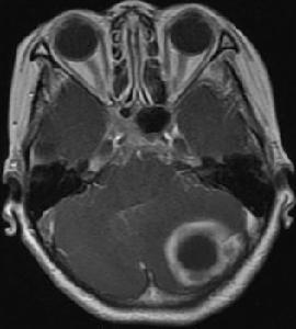
耳源性脑膜炎(otogenic meningitis)是急性或慢性化脓性中耳乳突炎所并发的软脑膜、蛛网膜急性化脓性炎症。[1]
【۩相关文章】
【☺用户提问】
耳源性脑膜炎是什么病?
什么叫做耳源性脑膜炎?
耳源性脑膜炎如何治疗?
耳源性脑膜炎怎么预防?
耳源性脑膜炎病因是什么?
耳源性脑膜炎吃什么药好?
耳源性脑膜炎吃什么好的快?
如何让耳源性脑膜炎好的快?
中医如何治疗耳源性脑膜炎?
西医如何治疗耳源性脑膜炎?
得了耳源性脑膜炎怎么办 需要怎么做?
吃什么食物对耳源性脑膜炎有好处?
耳源性脑膜炎的原因是什么?
人为什么会得耳源性脑膜炎?
耳源性脑膜炎要注意些什么?
耳源性脑膜炎要多久才能好?
耳源性脑膜炎严重,会导致什么?
怎么才能让耳源性脑膜炎快点好?
耳源性脑膜炎应该怎样做才能好得快?
耳源性脑膜炎不能吃那些东西?
耳源性脑膜炎了怎么样才能好受点?
如何才能快速的治愈耳源性脑膜炎?
耳源性脑膜炎有多少种?
耳源性脑膜炎时吃什么水果好?
耳源性脑膜炎需要注意些什么?
耳源性脑膜炎煲什么烫好吃
如何快速有效的治疗耳源性脑膜炎?
耳源性脑膜炎分哪几种类型?
如何防止耳源性脑膜炎?
什么偏方对耳源性脑膜炎 有用
得了耳源性脑膜炎有什么小秘方
什么药方对耳源性脑膜炎 有用
长期耳源性脑膜炎不好 怎么解决
耳源性脑膜炎吃药好还是自然痊愈好?
各种耳源性脑膜炎症状和常识用药
耳源性脑膜炎后要吃些什么?注意些什么?
۩ 耳源性脑膜炎
۞ 耳源性脑膜炎的概述
۞ 耳源性脑膜炎的概述
۞ 耳源性脑膜炎的病因
۞ 耳源性脑膜炎的临床表现
۞ 耳源性脑膜炎的鉴别
۞ 耳源性脑膜炎的并发症
۞ 耳源性脑膜炎的治疗
۞ 耳源性脑膜炎的预防保健
中医首页
疾病大全
药方功能
中医养生
中医药库
古今名医
中医医案
中医常识
中医问答
中医养生有道
中医白领养生
中医男人养生
中医女人养生
中医延年益寿
中医少儿益智
中医春季养生
中医夏季养生
中医秋季养生
中医冬季养生
中医美容
美容有方
明星美容秘方
中医祛斑
中医祛皱
中医祛痘
中医护发
中医美乳丰胸
中医美白
药膳食疗
食之有味
四季食疗
性福药膳
疾病食疗
美容药膳
减肥药膳
药粥
药酒
药茶
煲汤
中医减肥
中药减肥
针灸减肥
脐疗减肥
埋线减肥
小儿推拿
三伏天灸
动态前沿
误区提醒
针灸推拿
针刺艾灸
推拿按摩
刮痧
拔罐
耳穴奇谈
针灸美容
针灸减肥
疾病针灸
特色脐疗
望闻问切
四诊合参
小儿四诊
望神观色
五官五轮
听声闻味
百问其症
指上谈病
舌象图解
悬丝诊脉
© 2015-2016 vjvd.com All Rights Reserved.