中医健道首页>>空肠弯曲菌肠炎概述

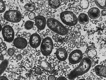
  空肠弯曲菌肠炎(campylobacter jejuni enteritis)是由空肠弯曲菌引起的急性肠道传染病。临床以发热、腹痛、血性便、粪便中有较多中性白细胞和红细胞为特征。  弯曲菌最早于1909年自流产的牛、羊体内分离出,称为胎儿弧菌(vibrio fetus),1947年从人体首次分离同该菌。至1957年king把引起儿童肠炎的这种细菌定名为“相关弧菌”(related vibrios)。1973年Sebald和Veron发现该菌不发酵葡萄糖,DNA的组成及含量不同于弧菌属,为了区别于弧菌而创用了弯曲菌(campylobacter)这一名称。到1977年Skirrow改革培养技术,在腹泻病人粪便中分离到弯曲菌,从而确立了病菌与疾病的关系,并把由弯曲菌引起的腹泻正式命名为弯曲菌肠炎(campylobacter enteritis)。
【۩相关文章】
【☺用户提问】
© 2015-2016 vjvd.com All Rights Reserved.