新浪微博
关注微信
注册
登陆
阴阳平衡
中医健康之道
做福人世
♥棘阿米巴性角膜炎
♥概述
♥病因
♥临床表现
♥检查诊断
♥治疗
♥并发症
♥预防
中医健道首页
>>棘阿米巴性角膜炎概述
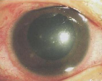
棘阿米巴角膜炎(Acanthamoeba Keratitis,AK)是由棘阿米巴原虫引起的一种新的感染性角膜病首先发现于1973年,近年来病例有逐年增多的趋势。由于该病临床表现复杂诊断与治疗比较困难临床上常被误诊为单纯疱疹病毒性角膜炎或真菌性角膜炎,因此,很有必要加强对本病的认识和研究。导致眼部感染的阿米巴原虫主要有棘阿米巴科的棘阿米巴属和双鞭毛阿米巴科的耐格里属,它们又统归为致病性自生生活阿米巴,其中以棘阿米巴属致病最常见。
西医学名:
棘阿米巴角膜炎
多发群体:
所有人
传染性:
有
传播途径:
寄生虫
主要症状:
角膜溃疡角膜炎脓肿眼痛
所属科室:
五官科眼科
发病部位:
眼
【۩相关文章】
【☺用户提问】
棘阿米巴性角膜炎是什么病?
什么叫做棘阿米巴性角膜炎?
棘阿米巴性角膜炎如何治疗?
棘阿米巴性角膜炎怎么预防?
棘阿米巴性角膜炎病因是什么?
棘阿米巴性角膜炎吃什么药好?
棘阿米巴性角膜炎吃什么好的快?
如何让棘阿米巴性角膜炎好的快?
中医如何治疗棘阿米巴性角膜炎?
西医如何治疗棘阿米巴性角膜炎?
得了棘阿米巴性角膜炎怎么办 需要怎么做?
吃什么食物对棘阿米巴性角膜炎有好处?
棘阿米巴性角膜炎的原因是什么?
人为什么会得棘阿米巴性角膜炎?
棘阿米巴性角膜炎要注意些什么?
棘阿米巴性角膜炎要多久才能好?
棘阿米巴性角膜炎严重,会导致什么?
怎么才能让棘阿米巴性角膜炎快点好?
棘阿米巴性角膜炎应该怎样做才能好得快?
棘阿米巴性角膜炎不能吃那些东西?
棘阿米巴性角膜炎了怎么样才能好受点?
如何才能快速的治愈棘阿米巴性角膜炎?
棘阿米巴性角膜炎有多少种?
棘阿米巴性角膜炎时吃什么水果好?
棘阿米巴性角膜炎需要注意些什么?
棘阿米巴性角膜炎煲什么烫好吃
如何快速有效的治疗棘阿米巴性角膜炎?
棘阿米巴性角膜炎分哪几种类型?
如何防止棘阿米巴性角膜炎?
什么偏方对棘阿米巴性角膜炎 有用
得了棘阿米巴性角膜炎有什么小秘方
什么药方对棘阿米巴性角膜炎 有用
长期棘阿米巴性角膜炎不好 怎么解决
棘阿米巴性角膜炎吃药好还是自然痊愈好?
各种棘阿米巴性角膜炎症状和常识用药
棘阿米巴性角膜炎后要吃些什么?注意些什么?
۩ 棘阿米巴性角膜炎
۞ 棘阿米巴性角膜炎的概述
۞ 棘阿米巴性角膜炎的概述
۞ 棘阿米巴性角膜炎的病因
۞ 棘阿米巴性角膜炎的临床表现
۞ 棘阿米巴性角膜炎的检查诊断
۞ 棘阿米巴性角膜炎的治疗
۞ 棘阿米巴性角膜炎的并发症
۞ 棘阿米巴性角膜炎的预防
中医首页
疾病大全
药方功能
中医养生
中医药库
古今名医
中医医案
中医常识
中医问答
中医养生有道
中医白领养生
中医男人养生
中医女人养生
中医延年益寿
中医少儿益智
中医春季养生
中医夏季养生
中医秋季养生
中医冬季养生
中医美容
美容有方
明星美容秘方
中医祛斑
中医祛皱
中医祛痘
中医护发
中医美乳丰胸
中医美白
药膳食疗
食之有味
四季食疗
性福药膳
疾病食疗
美容药膳
减肥药膳
药粥
药酒
药茶
煲汤
中医减肥
中药减肥
针灸减肥
脐疗减肥
埋线减肥
小儿推拿
三伏天灸
动态前沿
误区提醒
针灸推拿
针刺艾灸
推拿按摩
刮痧
拔罐
耳穴奇谈
针灸美容
针灸减肥
疾病针灸
特色脐疗
望闻问切
四诊合参
小儿四诊
望神观色
五官五轮
听声闻味
百问其症
指上谈病
舌象图解
悬丝诊脉
© 2015-2016 vjvd.com All Rights Reserved.