新浪微博
关注微信
注册
登陆
阴阳平衡
中医健康之道
做福人世
♥视网膜母细胞瘤
♥分类
♥疾病病因
♥临床表现
♥早期诊断
♥诊断
♥治疗
♥饮食禁忌
中医健道首页
>>视网膜母细胞瘤概述
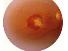
别名黑蒙猫眼病,在婴幼儿眼病中,是性质最严重、危害性最大的一种恶性肿瘤,发生于视网膜核层,具有家族遗传倾向,多发生于5岁以下,可单眼、双眼先后或同时罹患,本病易发生颅内及远处转移,常危及患儿生命,因此早期发现、早期诊断及早期治疗是提高治愈率、降低死亡率的关键。[1]
【۩相关文章】
【☺用户提问】
视网膜母细胞瘤是什么病?
什么叫做视网膜母细胞瘤?
视网膜母细胞瘤如何治疗?
视网膜母细胞瘤怎么预防?
视网膜母细胞瘤病因是什么?
视网膜母细胞瘤吃什么药好?
视网膜母细胞瘤吃什么好的快?
如何让视网膜母细胞瘤好的快?
中医如何治疗视网膜母细胞瘤?
西医如何治疗视网膜母细胞瘤?
得了视网膜母细胞瘤怎么办 需要怎么做?
吃什么食物对视网膜母细胞瘤有好处?
视网膜母细胞瘤的原因是什么?
人为什么会得视网膜母细胞瘤?
视网膜母细胞瘤要注意些什么?
视网膜母细胞瘤要多久才能好?
视网膜母细胞瘤严重,会导致什么?
怎么才能让视网膜母细胞瘤快点好?
视网膜母细胞瘤应该怎样做才能好得快?
视网膜母细胞瘤不能吃那些东西?
视网膜母细胞瘤了怎么样才能好受点?
如何才能快速的治愈视网膜母细胞瘤?
视网膜母细胞瘤有多少种?
视网膜母细胞瘤时吃什么水果好?
视网膜母细胞瘤需要注意些什么?
视网膜母细胞瘤煲什么烫好吃
如何快速有效的治疗视网膜母细胞瘤?
视网膜母细胞瘤分哪几种类型?
如何防止视网膜母细胞瘤?
什么偏方对视网膜母细胞瘤 有用
得了视网膜母细胞瘤有什么小秘方
什么药方对视网膜母细胞瘤 有用
长期视网膜母细胞瘤不好 怎么解决
视网膜母细胞瘤吃药好还是自然痊愈好?
各种视网膜母细胞瘤症状和常识用药
视网膜母细胞瘤后要吃些什么?注意些什么?
۩ 视网膜母细胞瘤
۞ 视网膜母细胞瘤的概述
۞ 视网膜母细胞瘤的分类
۞ 视网膜母细胞瘤的疾病病因
۞ 视网膜母细胞瘤的临床表现
۞ 视网膜母细胞瘤的早期诊断
۞ 视网膜母细胞瘤的诊断
۞ 视网膜母细胞瘤的治疗
۞ 视网膜母细胞瘤的饮食禁忌
中医首页
疾病大全
药方功能
中医养生
中医药库
古今名医
中医医案
中医常识
中医问答
中医养生有道
中医白领养生
中医男人养生
中医女人养生
中医延年益寿
中医少儿益智
中医春季养生
中医夏季养生
中医秋季养生
中医冬季养生
中医美容
美容有方
明星美容秘方
中医祛斑
中医祛皱
中医祛痘
中医护发
中医美乳丰胸
中医美白
药膳食疗
食之有味
四季食疗
性福药膳
疾病食疗
美容药膳
减肥药膳
药粥
药酒
药茶
煲汤
中医减肥
中药减肥
针灸减肥
脐疗减肥
埋线减肥
小儿推拿
三伏天灸
动态前沿
误区提醒
针灸推拿
针刺艾灸
推拿按摩
刮痧
拔罐
耳穴奇谈
针灸美容
针灸减肥
疾病针灸
特色脐疗
望闻问切
四诊合参
小儿四诊
望神观色
五官五轮
听声闻味
百问其症
指上谈病
舌象图解
悬丝诊脉
© 2015-2016 vjvd.com All Rights Reserved.