新浪微博
关注微信
注册
登陆
阴阳平衡
中医健康之道
做福人世
♥妊娠合并巨细胞病毒感染
♥疾病描述
♥疾病原因
♥病理生理
♥症状体征
♥诊断检查
♥治疗方案
♥疾病预防
♥用药安全
♥注意事项
中医健道首页
>>妊娠合并巨细胞病毒感染概述
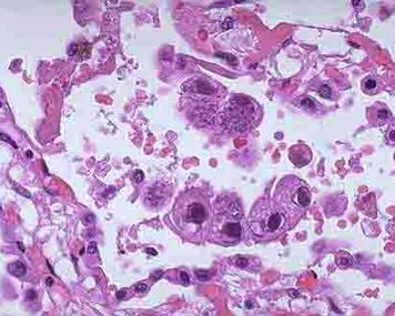
妊娠合并巨细胞病毒感染是在妊娠期间,由巨细胞病毒引起的一种全身感染性疾病,近年已被列为性传播疾病。巨细胞病毒感签证的物秆性病变为感染细胞增大,细胞核和细胞质内分别出现嗜酸性和嗜碱性包含体。巨细胞病毒具有潜伏活动的生物学特征,多为潜伏感染,可因妊娠而被激活。[1]
【۩相关文章】
【☺用户提问】
妊娠合并巨细胞病毒感染是什么病?
什么叫做妊娠合并巨细胞病毒感染?
妊娠合并巨细胞病毒感染如何治疗?
妊娠合并巨细胞病毒感染怎么预防?
妊娠合并巨细胞病毒感染病因是什么?
妊娠合并巨细胞病毒感染吃什么药好?
妊娠合并巨细胞病毒感染吃什么好的快?
如何让妊娠合并巨细胞病毒感染好的快?
中医如何治疗妊娠合并巨细胞病毒感染?
西医如何治疗妊娠合并巨细胞病毒感染?
得了妊娠合并巨细胞病毒感染怎么办 需要怎么做?
吃什么食物对妊娠合并巨细胞病毒感染有好处?
妊娠合并巨细胞病毒感染的原因是什么?
人为什么会得妊娠合并巨细胞病毒感染?
妊娠合并巨细胞病毒感染要注意些什么?
妊娠合并巨细胞病毒感染要多久才能好?
妊娠合并巨细胞病毒感染严重,会导致什么?
怎么才能让妊娠合并巨细胞病毒感染快点好?
妊娠合并巨细胞病毒感染应该怎样做才能好得快?
妊娠合并巨细胞病毒感染不能吃那些东西?
妊娠合并巨细胞病毒感染了怎么样才能好受点?
如何才能快速的治愈妊娠合并巨细胞病毒感染?
妊娠合并巨细胞病毒感染有多少种?
妊娠合并巨细胞病毒感染时吃什么水果好?
妊娠合并巨细胞病毒感染需要注意些什么?
妊娠合并巨细胞病毒感染煲什么烫好吃
如何快速有效的治疗妊娠合并巨细胞病毒感染?
妊娠合并巨细胞病毒感染分哪几种类型?
如何防止妊娠合并巨细胞病毒感染?
什么偏方对妊娠合并巨细胞病毒感染 有用
得了妊娠合并巨细胞病毒感染有什么小秘方
什么药方对妊娠合并巨细胞病毒感染 有用
长期妊娠合并巨细胞病毒感染不好 怎么解决
妊娠合并巨细胞病毒感染吃药好还是自然痊愈好?
各种妊娠合并巨细胞病毒感染症状和常识用药
妊娠合并巨细胞病毒感染后要吃些什么?注意些什么?
۩ 妊娠合并巨细胞病毒感染
۞ 妊娠合并巨细胞病毒感染的概述
۞ 妊娠合并巨细胞病毒感染的疾病描述
۞ 妊娠合并巨细胞病毒感染的疾病原因
۞ 妊娠合并巨细胞病毒感染的病理生理
۞ 妊娠合并巨细胞病毒感染的症状体征
۞ 妊娠合并巨细胞病毒感染的诊断检查
۞ 妊娠合并巨细胞病毒感染的治疗方案
۞ 妊娠合并巨细胞病毒感染的疾病预防
۞ 妊娠合并巨细胞病毒感染的用药安全
۞ 妊娠合并巨细胞病毒感染的注意事项
中医首页
疾病大全
药方功能
中医养生
中医药库
古今名医
中医医案
中医常识
中医问答
中医养生有道
中医白领养生
中医男人养生
中医女人养生
中医延年益寿
中医少儿益智
中医春季养生
中医夏季养生
中医秋季养生
中医冬季养生
中医美容
美容有方
明星美容秘方
中医祛斑
中医祛皱
中医祛痘
中医护发
中医美乳丰胸
中医美白
药膳食疗
食之有味
四季食疗
性福药膳
疾病食疗
美容药膳
减肥药膳
药粥
药酒
药茶
煲汤
中医减肥
中药减肥
针灸减肥
脐疗减肥
埋线减肥
小儿推拿
三伏天灸
动态前沿
误区提醒
针灸推拿
针刺艾灸
推拿按摩
刮痧
拔罐
耳穴奇谈
针灸美容
针灸减肥
疾病针灸
特色脐疗
望闻问切
四诊合参
小儿四诊
望神观色
五官五轮
听声闻味
百问其症
指上谈病
舌象图解
悬丝诊脉
© 2015-2016 vjvd.com All Rights Reserved.