新浪微博
关注微信
注册
登陆
阴阳平衡
中医健康之道
做福人世
♥慢性胆囊炎
♥慢性胆囊炎
♥病理概述
♥病理病因
♥病理症状
♥检查化验
♥诊断鉴别
♥治疗总则
♥治疗方法
♥中医治疗
♥家庭养护
中医健道首页
>>慢性胆囊炎概述
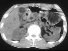
慢性胆囊炎(chronic cholecystitis)系指胆囊慢性炎症性病变,大多为慢性结石性胆囊炎,占85%~95%,少数为非结石性胆囊炎,如伤寒带菌者。本病可由急性胆囊炎反复发作迁延而来,也可慢性起病。临床表现无特异性,常见的是右上腹部或心窝部隐痛,食后饱胀不适,嗳气,进食油腻食物后可有恶心,偶有呕吐。在老年人,可无临床症状,称无症状性胆囊炎。
【۩相关文章】
治疗慢性胆囊炎有什么偏方吗?
治疗慢性胆囊炎有什么偏方吗?
上海中医治疗慢性胆囊炎最好的是哪家医院?
上海中医治疗慢性胆囊炎最好的是哪家医院?
哺乳期 胆总管结石+慢性胆囊炎+胆囊结石 怎么办
哺乳期 胆总管结石+慢性胆囊炎+胆囊结石 怎么办
患有慢性胆囊炎结肠炎的我夏天怎么过?
患有慢性胆囊炎结肠炎的我夏天怎么过?
患有慢性胆囊炎结肠炎的我夏天怎么过?
患有慢性胆囊炎结肠炎的我夏天怎么过?
反流性胃炎并感染幽门杆菌,慢性胆囊炎
反流性胃炎并感染幽门杆菌,慢性胆囊炎
脂肪肝、酒精肝、慢性胆囊炎
脂肪肝、酒精肝、慢性胆囊炎
请问慢性胆囊炎,胆囊息肉(多发性)该怎样治疗?
请问慢性胆囊炎,胆囊息肉(多发性)该怎样治疗?
得了慢性胆囊炎怎么办
得了慢性胆囊炎怎么办
胆囊收缩功能很差且有慢性胆囊炎手术摘除好不好?
胆囊收缩功能很差且有慢性胆囊炎手术摘除好不好?
我是不是慢性胆囊炎
我是不是慢性胆囊炎
胆囊息肉,慢性胆囊炎
胆囊息肉,慢性胆囊炎
【☺用户提问】
慢性胆囊炎是什么病?
什么叫做慢性胆囊炎?
慢性胆囊炎如何治疗?
慢性胆囊炎怎么预防?
慢性胆囊炎病因是什么?
慢性胆囊炎吃什么药好?
慢性胆囊炎吃什么好的快?
如何让慢性胆囊炎好的快?
中医如何治疗慢性胆囊炎?
西医如何治疗慢性胆囊炎?
得了慢性胆囊炎怎么办 需要怎么做?
吃什么食物对慢性胆囊炎有好处?
慢性胆囊炎的原因是什么?
人为什么会得慢性胆囊炎?
慢性胆囊炎要注意些什么?
慢性胆囊炎要多久才能好?
慢性胆囊炎严重,会导致什么?
怎么才能让慢性胆囊炎快点好?
慢性胆囊炎应该怎样做才能好得快?
慢性胆囊炎不能吃那些东西?
慢性胆囊炎了怎么样才能好受点?
如何才能快速的治愈慢性胆囊炎?
慢性胆囊炎有多少种?
慢性胆囊炎时吃什么水果好?
慢性胆囊炎需要注意些什么?
慢性胆囊炎煲什么烫好吃
如何快速有效的治疗慢性胆囊炎?
慢性胆囊炎分哪几种类型?
如何防止慢性胆囊炎?
什么偏方对慢性胆囊炎 有用
得了慢性胆囊炎有什么小秘方
什么药方对慢性胆囊炎 有用
长期慢性胆囊炎不好 怎么解决
慢性胆囊炎吃药好还是自然痊愈好?
各种慢性胆囊炎症状和常识用药
慢性胆囊炎后要吃些什么?注意些什么?
۩ 慢性胆囊炎
۞ 慢性胆囊炎的概述
۞ 慢性胆囊炎的慢性胆囊炎
۞ 慢性胆囊炎的病理概述
۞ 慢性胆囊炎的病理病因
۞ 慢性胆囊炎的病理症状
۞ 慢性胆囊炎的检查化验
۞ 慢性胆囊炎的诊断鉴别
۞ 慢性胆囊炎的治疗总则
۞ 慢性胆囊炎的治疗方法
۞ 慢性胆囊炎的中医治疗
۞ 慢性胆囊炎的家庭养护
中医首页
疾病大全
药方功能
中医养生
中医药库
古今名医
中医医案
中医常识
中医问答
中医养生有道
中医白领养生
中医男人养生
中医女人养生
中医延年益寿
中医少儿益智
中医春季养生
中医夏季养生
中医秋季养生
中医冬季养生
中医美容
美容有方
明星美容秘方
中医祛斑
中医祛皱
中医祛痘
中医护发
中医美乳丰胸
中医美白
药膳食疗
食之有味
四季食疗
性福药膳
疾病食疗
美容药膳
减肥药膳
药粥
药酒
药茶
煲汤
中医减肥
中药减肥
针灸减肥
脐疗减肥
埋线减肥
小儿推拿
三伏天灸
动态前沿
误区提醒
针灸推拿
针刺艾灸
推拿按摩
刮痧
拔罐
耳穴奇谈
针灸美容
针灸减肥
疾病针灸
特色脐疗
望闻问切
四诊合参
小儿四诊
望神观色
五官五轮
听声闻味
百问其症
指上谈病
舌象图解
悬丝诊脉
© 2015-2016 vjvd.com All Rights Reserved.