新浪微博
关注微信
注册
登陆
阴阳平衡
中医健康之道
做福人世
♥Q热肺炎
♥病因
♥症状
♥检查
♥鉴别诊断
♥并发症
♥预防
♥治疗
中医健道首页
>>Q热肺炎概述
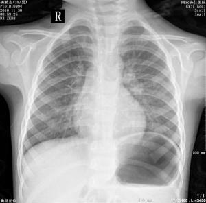
寇热是由贝纳立克次体(R.burnetii,又称伯氏立克次体、寇热立克次体)引起的急性传染病。1935年在澳大利亚首次发现,由于认为是一种原因不明的疾病(query为疑问之意),故名寇热。临床表现主要为突然发热,头痛及全身酸痛,呼吸道感染是主要传播途径。易引起肺部病变(寇热肺炎,Q-fever pneumonia)。一般在病程中无皮疹、外斐反应呈阴性,因而有别于其他立克次体病。
【۩相关文章】
【☺用户提问】
Q热肺炎是什么病?
什么叫做Q热肺炎?
Q热肺炎如何治疗?
Q热肺炎怎么预防?
Q热肺炎病因是什么?
Q热肺炎吃什么药好?
Q热肺炎吃什么好的快?
如何让Q热肺炎好的快?
中医如何治疗Q热肺炎?
西医如何治疗Q热肺炎?
得了Q热肺炎怎么办 需要怎么做?
吃什么食物对Q热肺炎有好处?
Q热肺炎的原因是什么?
人为什么会得Q热肺炎?
Q热肺炎要注意些什么?
Q热肺炎要多久才能好?
Q热肺炎严重,会导致什么?
怎么才能让Q热肺炎快点好?
Q热肺炎应该怎样做才能好得快?
Q热肺炎不能吃那些东西?
Q热肺炎了怎么样才能好受点?
如何才能快速的治愈Q热肺炎?
Q热肺炎有多少种?
Q热肺炎时吃什么水果好?
Q热肺炎需要注意些什么?
Q热肺炎煲什么烫好吃
如何快速有效的治疗Q热肺炎?
Q热肺炎分哪几种类型?
如何防止Q热肺炎?
什么偏方对Q热肺炎 有用
得了Q热肺炎有什么小秘方
什么药方对Q热肺炎 有用
长期Q热肺炎不好 怎么解决
Q热肺炎吃药好还是自然痊愈好?
各种Q热肺炎症状和常识用药
Q热肺炎后要吃些什么?注意些什么?
۩ Q热肺炎
۞ Q热肺炎的概述
۞ Q热肺炎的病因
۞ Q热肺炎的症状
۞ Q热肺炎的检查
۞ Q热肺炎的鉴别诊断
۞ Q热肺炎的并发症
۞ Q热肺炎的预防
۞ Q热肺炎的治疗
中医首页
疾病大全
药方功能
中医养生
中医药库
古今名医
中医医案
中医常识
中医问答
中医养生有道
中医白领养生
中医男人养生
中医女人养生
中医延年益寿
中医少儿益智
中医春季养生
中医夏季养生
中医秋季养生
中医冬季养生
中医美容
美容有方
明星美容秘方
中医祛斑
中医祛皱
中医祛痘
中医护发
中医美乳丰胸
中医美白
药膳食疗
食之有味
四季食疗
性福药膳
疾病食疗
美容药膳
减肥药膳
药粥
药酒
药茶
煲汤
中医减肥
中药减肥
针灸减肥
脐疗减肥
埋线减肥
小儿推拿
三伏天灸
动态前沿
误区提醒
针灸推拿
针刺艾灸
推拿按摩
刮痧
拔罐
耳穴奇谈
针灸美容
针灸减肥
疾病针灸
特色脐疗
望闻问切
四诊合参
小儿四诊
望神观色
五官五轮
听声闻味
百问其症
指上谈病
舌象图解
悬丝诊脉
© 2015-2016 vjvd.com All Rights Reserved.