新浪微博
关注微信
注册
登陆
阴阳平衡
中医健康之道
做福人世
♥食管癌
♥概述
♥症状概述
♥病因
♥检查
♥病理及分期
♥症状体征
♥治疗
♥护理
♥预防
♥预防小常识
中医健道首页
>>食管癌概述
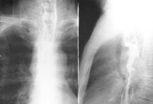
食道癌是发生在食管上皮组织的恶性肿瘤,占所有恶性肿瘤的2%。全世界每年约有22万人死于食道癌,我国是食道癌高发区,因食道癌死亡者仅次于胃癌居第二位,发病年龄多在40岁以上,男性多于女性,但近年来40岁以下发病者有增长趋势。食道癌的发生与亚硝胺慢性刺激、炎症与创伤,遗传因素以及饮水、粮食和蔬菜中的微量元素含量有关。[1]
【۩相关文章】
志苓胶囊治疗食管癌效果好吗?
【☺用户提问】
食管癌是什么病?
什么叫做食管癌?
食管癌如何治疗?
食管癌怎么预防?
食管癌病因是什么?
食管癌吃什么药好?
食管癌吃什么好的快?
如何让食管癌好的快?
中医如何治疗食管癌?
西医如何治疗食管癌?
得了食管癌怎么办 需要怎么做?
吃什么食物对食管癌有好处?
食管癌的原因是什么?
人为什么会得食管癌?
食管癌要注意些什么?
食管癌要多久才能好?
食管癌严重,会导致什么?
怎么才能让食管癌快点好?
食管癌应该怎样做才能好得快?
食管癌不能吃那些东西?
食管癌了怎么样才能好受点?
如何才能快速的治愈食管癌?
食管癌有多少种?
食管癌时吃什么水果好?
食管癌需要注意些什么?
食管癌煲什么烫好吃
如何快速有效的治疗食管癌?
食管癌分哪几种类型?
如何防止食管癌?
什么偏方对食管癌 有用
得了食管癌有什么小秘方
什么药方对食管癌 有用
长期食管癌不好 怎么解决
食管癌吃药好还是自然痊愈好?
各种食管癌症状和常识用药
食管癌后要吃些什么?注意些什么?
۩ 食管癌
۞ 食管癌的概述
۞ 食管癌的概述
۞ 食管癌的症状概述
۞ 食管癌的病因
۞ 食管癌的检查
۞ 食管癌的病理及分期
۞ 食管癌的症状体征
۞ 食管癌的治疗
۞ 食管癌的护理
۞ 食管癌的预防
۞ 食管癌的预防小常识
中医首页
疾病大全
药方功能
中医养生
中医药库
古今名医
中医医案
中医常识
中医问答
中医养生有道
中医白领养生
中医男人养生
中医女人养生
中医延年益寿
中医少儿益智
中医春季养生
中医夏季养生
中医秋季养生
中医冬季养生
中医美容
美容有方
明星美容秘方
中医祛斑
中医祛皱
中医祛痘
中医护发
中医美乳丰胸
中医美白
药膳食疗
食之有味
四季食疗
性福药膳
疾病食疗
美容药膳
减肥药膳
药粥
药酒
药茶
煲汤
中医减肥
中药减肥
针灸减肥
脐疗减肥
埋线减肥
小儿推拿
三伏天灸
动态前沿
误区提醒
针灸推拿
针刺艾灸
推拿按摩
刮痧
拔罐
耳穴奇谈
针灸美容
针灸减肥
疾病针灸
特色脐疗
望闻问切
四诊合参
小儿四诊
望神观色
五官五轮
听声闻味
百问其症
指上谈病
舌象图解
悬丝诊脉
© 2015-2016 vjvd.com All Rights Reserved.