新浪微博
关注微信
注册
登陆
阴阳平衡
中医健康之道
做福人世
♥胃反应性淋巴增生
♥概述
♥病因
♥临床表现
♥检查鉴别
♥疾病治疗
中医健道首页
>>胃反应性淋巴增生概述
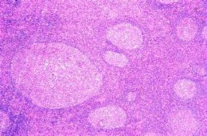
胃反应性淋巴增生是胃黏膜局限性或弥漫性淋巴细胞明显增生的良性疾病,临床上较为少见,病因尚不明确。此病又称为胃假性淋巴瘤、胃良性淋巴组织增生、胃局限性淋巴组织增生、慢性淋巴细胞性胃炎。在临床上,它与恶性淋巴瘤的鉴别较为困难,可转变为恶性淋巴瘤。发病年龄多在40~60岁,男女比例相近。
【۩相关文章】
【☺用户提问】
胃反应性淋巴增生是什么病?
什么叫做胃反应性淋巴增生?
胃反应性淋巴增生如何治疗?
胃反应性淋巴增生怎么预防?
胃反应性淋巴增生病因是什么?
胃反应性淋巴增生吃什么药好?
胃反应性淋巴增生吃什么好的快?
如何让胃反应性淋巴增生好的快?
中医如何治疗胃反应性淋巴增生?
西医如何治疗胃反应性淋巴增生?
得了胃反应性淋巴增生怎么办 需要怎么做?
吃什么食物对胃反应性淋巴增生有好处?
胃反应性淋巴增生的原因是什么?
人为什么会得胃反应性淋巴增生?
胃反应性淋巴增生要注意些什么?
胃反应性淋巴增生要多久才能好?
胃反应性淋巴增生严重,会导致什么?
怎么才能让胃反应性淋巴增生快点好?
胃反应性淋巴增生应该怎样做才能好得快?
胃反应性淋巴增生不能吃那些东西?
胃反应性淋巴增生了怎么样才能好受点?
如何才能快速的治愈胃反应性淋巴增生?
胃反应性淋巴增生有多少种?
胃反应性淋巴增生时吃什么水果好?
胃反应性淋巴增生需要注意些什么?
胃反应性淋巴增生煲什么烫好吃
如何快速有效的治疗胃反应性淋巴增生?
胃反应性淋巴增生分哪几种类型?
如何防止胃反应性淋巴增生?
什么偏方对胃反应性淋巴增生 有用
得了胃反应性淋巴增生有什么小秘方
什么药方对胃反应性淋巴增生 有用
长期胃反应性淋巴增生不好 怎么解决
胃反应性淋巴增生吃药好还是自然痊愈好?
各种胃反应性淋巴增生症状和常识用药
胃反应性淋巴增生后要吃些什么?注意些什么?
۩ 胃反应性淋巴增生
۞ 胃反应性淋巴增生的概述
۞ 胃反应性淋巴增生的概述
۞ 胃反应性淋巴增生的病因
۞ 胃反应性淋巴增生的临床表现
۞ 胃反应性淋巴增生的检查鉴别
۞ 胃反应性淋巴增生的疾病治疗
中医首页
疾病大全
药方功能
中医养生
中医药库
古今名医
中医医案
中医常识
中医问答
中医养生有道
中医白领养生
中医男人养生
中医女人养生
中医延年益寿
中医少儿益智
中医春季养生
中医夏季养生
中医秋季养生
中医冬季养生
中医美容
美容有方
明星美容秘方
中医祛斑
中医祛皱
中医祛痘
中医护发
中医美乳丰胸
中医美白
药膳食疗
食之有味
四季食疗
性福药膳
疾病食疗
美容药膳
减肥药膳
药粥
药酒
药茶
煲汤
中医减肥
中药减肥
针灸减肥
脐疗减肥
埋线减肥
小儿推拿
三伏天灸
动态前沿
误区提醒
针灸推拿
针刺艾灸
推拿按摩
刮痧
拔罐
耳穴奇谈
针灸美容
针灸减肥
疾病针灸
特色脐疗
望闻问切
四诊合参
小儿四诊
望神观色
五官五轮
听声闻味
百问其症
指上谈病
舌象图解
悬丝诊脉
© 2015-2016 vjvd.com All Rights Reserved.