新浪微博
关注微信
注册
登陆
阴阳平衡
中医健康之道
做福人世
♥胃平滑肌肉瘤
♥诊断
♥治疗措施
♥病理改变
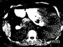
♥影像学表现
♥鉴别诊断
♥临床表现
♥并发症
♥预后情况
中医健道首页
>>胃平滑肌肉瘤概述
胃平滑肌肉瘤是一种常见的恶性软组织肿瘤,早期无特异性症状,随着瘤体的增大,会出现一些典型的症状比如腹痛、腹部肿块、出血等。胃平滑肌肉瘤多从胃固有肌层发生,较为少见,仅占胃内瘤的20%,性别差异不大,平均年龄为54岁。[1]
【۩相关文章】
【☺用户提问】
胃平滑肌肉瘤是什么病?
什么叫做胃平滑肌肉瘤?
胃平滑肌肉瘤如何治疗?
胃平滑肌肉瘤怎么预防?
胃平滑肌肉瘤病因是什么?
胃平滑肌肉瘤吃什么药好?
胃平滑肌肉瘤吃什么好的快?
如何让胃平滑肌肉瘤好的快?
中医如何治疗胃平滑肌肉瘤?
西医如何治疗胃平滑肌肉瘤?
得了胃平滑肌肉瘤怎么办 需要怎么做?
吃什么食物对胃平滑肌肉瘤有好处?
胃平滑肌肉瘤的原因是什么?
人为什么会得胃平滑肌肉瘤?
胃平滑肌肉瘤要注意些什么?
胃平滑肌肉瘤要多久才能好?
胃平滑肌肉瘤严重,会导致什么?
怎么才能让胃平滑肌肉瘤快点好?
胃平滑肌肉瘤应该怎样做才能好得快?
胃平滑肌肉瘤不能吃那些东西?
胃平滑肌肉瘤了怎么样才能好受点?
如何才能快速的治愈胃平滑肌肉瘤?
胃平滑肌肉瘤有多少种?
胃平滑肌肉瘤时吃什么水果好?
胃平滑肌肉瘤需要注意些什么?
胃平滑肌肉瘤煲什么烫好吃
如何快速有效的治疗胃平滑肌肉瘤?
胃平滑肌肉瘤分哪几种类型?
如何防止胃平滑肌肉瘤?
什么偏方对胃平滑肌肉瘤 有用
得了胃平滑肌肉瘤有什么小秘方
什么药方对胃平滑肌肉瘤 有用
长期胃平滑肌肉瘤不好 怎么解决
胃平滑肌肉瘤吃药好还是自然痊愈好?
各种胃平滑肌肉瘤症状和常识用药
胃平滑肌肉瘤后要吃些什么?注意些什么?
۩ 胃平滑肌肉瘤
۞ 胃平滑肌肉瘤的概述
۞ 胃平滑肌肉瘤的诊断
۞ 胃平滑肌肉瘤的治疗措施
۞ 胃平滑肌肉瘤的病理改变
۞ 胃平滑肌肉瘤的影像学表现
۞ 胃平滑肌肉瘤的鉴别诊断
۞ 胃平滑肌肉瘤的临床表现
۞ 胃平滑肌肉瘤的并发症
۞ 胃平滑肌肉瘤的预后情况
中医首页
疾病大全
药方功能
中医养生
中医药库
古今名医
中医医案
中医常识
中医问答
中医养生有道
中医白领养生
中医男人养生
中医女人养生
中医延年益寿
中医少儿益智
中医春季养生
中医夏季养生
中医秋季养生
中医冬季养生
中医美容
美容有方
明星美容秘方
中医祛斑
中医祛皱
中医祛痘
中医护发
中医美乳丰胸
中医美白
药膳食疗
食之有味
四季食疗
性福药膳
疾病食疗
美容药膳
减肥药膳
药粥
药酒
药茶
煲汤
中医减肥
中药减肥
针灸减肥
脐疗减肥
埋线减肥
小儿推拿
三伏天灸
动态前沿
误区提醒
针灸推拿
针刺艾灸
推拿按摩
刮痧
拔罐
耳穴奇谈
针灸美容
针灸减肥
疾病针灸
特色脐疗
望闻问切
四诊合参
小儿四诊
望神观色
五官五轮
听声闻味
百问其症
指上谈病
舌象图解
悬丝诊脉
© 2015-2016 vjvd.com All Rights Reserved.