新浪微博
关注微信
注册
登陆
阴阳平衡
中医健康之道
做福人世
♥小肠异物
♥病因
♥临床表现
♥检查
♥诊断
♥并发症
♥治疗
♥预防
中医健道首页
>>小肠异物概述
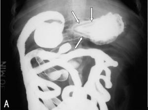
小肠内异物多为误吞或故意吞服的各种物品,前者多见于儿童、精神异常或戴义齿者,后者多见于企图自杀者。可出现腹胀、便秘,甚至呕吐;异物刺入或嵌入肠壁,可引起腹痛、感染和发热;异物损伤肠黏膜,可引起溃疡和出血。[1]
【۩相关文章】
【☺用户提问】
小肠异物是什么病?
什么叫做小肠异物?
小肠异物如何治疗?
小肠异物怎么预防?
小肠异物病因是什么?
小肠异物吃什么药好?
小肠异物吃什么好的快?
如何让小肠异物好的快?
中医如何治疗小肠异物?
西医如何治疗小肠异物?
得了小肠异物怎么办 需要怎么做?
吃什么食物对小肠异物有好处?
小肠异物的原因是什么?
人为什么会得小肠异物?
小肠异物要注意些什么?
小肠异物要多久才能好?
小肠异物严重,会导致什么?
怎么才能让小肠异物快点好?
小肠异物应该怎样做才能好得快?
小肠异物不能吃那些东西?
小肠异物了怎么样才能好受点?
如何才能快速的治愈小肠异物?
小肠异物有多少种?
小肠异物时吃什么水果好?
小肠异物需要注意些什么?
小肠异物煲什么烫好吃
如何快速有效的治疗小肠异物?
小肠异物分哪几种类型?
如何防止小肠异物?
什么偏方对小肠异物 有用
得了小肠异物有什么小秘方
什么药方对小肠异物 有用
长期小肠异物不好 怎么解决
小肠异物吃药好还是自然痊愈好?
各种小肠异物症状和常识用药
小肠异物后要吃些什么?注意些什么?
۩ 小肠异物
۞ 小肠异物的概述
۞ 小肠异物的病因
۞ 小肠异物的临床表现
۞ 小肠异物的检查
۞ 小肠异物的诊断
۞ 小肠异物的并发症
۞ 小肠异物的治疗
۞ 小肠异物的预防
中医首页
疾病大全
药方功能
中医养生
中医药库
古今名医
中医医案
中医常识
中医问答
中医养生有道
中医白领养生
中医男人养生
中医女人养生
中医延年益寿
中医少儿益智
中医春季养生
中医夏季养生
中医秋季养生
中医冬季养生
中医美容
美容有方
明星美容秘方
中医祛斑
中医祛皱
中医祛痘
中医护发
中医美乳丰胸
中医美白
药膳食疗
食之有味
四季食疗
性福药膳
疾病食疗
美容药膳
减肥药膳
药粥
药酒
药茶
煲汤
中医减肥
中药减肥
针灸减肥
脐疗减肥
埋线减肥
小儿推拿
三伏天灸
动态前沿
误区提醒
针灸推拿
针刺艾灸
推拿按摩
刮痧
拔罐
耳穴奇谈
针灸美容
针灸减肥
疾病针灸
特色脐疗
望闻问切
四诊合参
小儿四诊
望神观色
五官五轮
听声闻味
百问其症
指上谈病
舌象图解
悬丝诊脉
© 2015-2016 vjvd.com All Rights Reserved.