中医健道首页>>小儿急性血行播散型肺结核概述

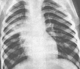
血行播散型肺结核是结核分枝杆菌一次或反复多次进入血液循环,造成肺部病变以及相应的病理、病理生理学改变和临床表现者称为血行播散型肺结核,造成全身多脏器病变时则称血行播散型结核病。血行播散型肺结核是一种危重结核病,由原发型肺结核发展而来,也可由其它结核干酪样灶破溃到血源引起。该病多见于儿童,成人亦可发生。随着人口老龄化和老年人寿命的延长以及结核病疫情的回升,老年血行播散型肺结核病有增多趋势。
【۩相关文章】
【☺用户提问】
© 2015-2016 vjvd.com All Rights Reserved.