新浪微博
关注微信
注册
登陆
阴阳平衡
中医健康之道
做福人世
♥肿瘤性息肉
♥病因
♥症状
♥相关检查
♥诊断鉴别
♥疾病治疗
♥预防护理
中医健道首页
>>肿瘤性息肉概述
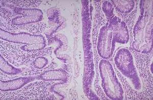
肿瘤性息肉(TumorousPolyp)是大肠膜上皮细胞增生的真性肿瘤,其单发者统称为腺瘤,根据其组织学特征和生物学行为的不同又可分为腺管状、绒毛状和混合性3类。多发性者常见为家族性腺瘤病,其他尚有非家族性腺瘤病及伴有消化道外肿瘤的Gardner氏综合征、Turcot氏综合征等,它们多有不同的恶变率、被视为癌前病变,因此腺瘤的诊断具有重要的临床意义。
【۩相关文章】
【☺用户提问】
肿瘤性息肉是什么病?
什么叫做肿瘤性息肉?
肿瘤性息肉如何治疗?
肿瘤性息肉怎么预防?
肿瘤性息肉病因是什么?
肿瘤性息肉吃什么药好?
肿瘤性息肉吃什么好的快?
如何让肿瘤性息肉好的快?
中医如何治疗肿瘤性息肉?
西医如何治疗肿瘤性息肉?
得了肿瘤性息肉怎么办 需要怎么做?
吃什么食物对肿瘤性息肉有好处?
肿瘤性息肉的原因是什么?
人为什么会得肿瘤性息肉?
肿瘤性息肉要注意些什么?
肿瘤性息肉要多久才能好?
肿瘤性息肉严重,会导致什么?
怎么才能让肿瘤性息肉快点好?
肿瘤性息肉应该怎样做才能好得快?
肿瘤性息肉不能吃那些东西?
肿瘤性息肉了怎么样才能好受点?
如何才能快速的治愈肿瘤性息肉?
肿瘤性息肉有多少种?
肿瘤性息肉时吃什么水果好?
肿瘤性息肉需要注意些什么?
肿瘤性息肉煲什么烫好吃
如何快速有效的治疗肿瘤性息肉?
肿瘤性息肉分哪几种类型?
如何防止肿瘤性息肉?
什么偏方对肿瘤性息肉 有用
得了肿瘤性息肉有什么小秘方
什么药方对肿瘤性息肉 有用
长期肿瘤性息肉不好 怎么解决
肿瘤性息肉吃药好还是自然痊愈好?
各种肿瘤性息肉症状和常识用药
肿瘤性息肉后要吃些什么?注意些什么?
۩ 肿瘤性息肉
۞ 肿瘤性息肉的概述
۞ 肿瘤性息肉的病因
۞ 肿瘤性息肉的症状
۞ 肿瘤性息肉的相关检查
۞ 肿瘤性息肉的诊断鉴别
۞ 肿瘤性息肉的疾病治疗
۞ 肿瘤性息肉的预防护理
中医首页
疾病大全
药方功能
中医养生
中医药库
古今名医
中医医案
中医常识
中医问答
中医养生有道
中医白领养生
中医男人养生
中医女人养生
中医延年益寿
中医少儿益智
中医春季养生
中医夏季养生
中医秋季养生
中医冬季养生
中医美容
美容有方
明星美容秘方
中医祛斑
中医祛皱
中医祛痘
中医护发
中医美乳丰胸
中医美白
药膳食疗
食之有味
四季食疗
性福药膳
疾病食疗
美容药膳
减肥药膳
药粥
药酒
药茶
煲汤
中医减肥
中药减肥
针灸减肥
脐疗减肥
埋线减肥
小儿推拿
三伏天灸
动态前沿
误区提醒
针灸推拿
针刺艾灸
推拿按摩
刮痧
拔罐
耳穴奇谈
针灸美容
针灸减肥
疾病针灸
特色脐疗
望闻问切
四诊合参
小儿四诊
望神观色
五官五轮
听声闻味
百问其症
指上谈病
舌象图解
悬丝诊脉
© 2015-2016 vjvd.com All Rights Reserved.