新浪微博
关注微信
注册
登陆
阴阳平衡
中医健康之道
做福人世
♥单侧肺气肿
♥病因
♥症状
♥检查
♥鉴别诊断
♥并发症
♥治疗
♥预防
中医健道首页
>>单侧肺气肿概述
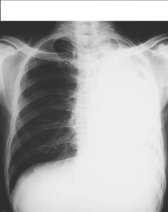
单侧肺气肿的狭义定义指因先天性肺组织及肺循环发育异常,使患肺能较正常肺组织透过更多X线的肺部疾病。也有人将阻塞性或代偿性肺气肿、肺大疱,气性肺囊肿等称为透明肺,此可以理解为广义的范畴。[1]
【۩相关文章】
【☺用户提问】
单侧肺气肿是什么病?
什么叫做单侧肺气肿?
单侧肺气肿如何治疗?
单侧肺气肿怎么预防?
单侧肺气肿病因是什么?
单侧肺气肿吃什么药好?
单侧肺气肿吃什么好的快?
如何让单侧肺气肿好的快?
中医如何治疗单侧肺气肿?
西医如何治疗单侧肺气肿?
得了单侧肺气肿怎么办 需要怎么做?
吃什么食物对单侧肺气肿有好处?
单侧肺气肿的原因是什么?
人为什么会得单侧肺气肿?
单侧肺气肿要注意些什么?
单侧肺气肿要多久才能好?
单侧肺气肿严重,会导致什么?
怎么才能让单侧肺气肿快点好?
单侧肺气肿应该怎样做才能好得快?
单侧肺气肿不能吃那些东西?
单侧肺气肿了怎么样才能好受点?
如何才能快速的治愈单侧肺气肿?
单侧肺气肿有多少种?
单侧肺气肿时吃什么水果好?
单侧肺气肿需要注意些什么?
单侧肺气肿煲什么烫好吃
如何快速有效的治疗单侧肺气肿?
单侧肺气肿分哪几种类型?
如何防止单侧肺气肿?
什么偏方对单侧肺气肿 有用
得了单侧肺气肿有什么小秘方
什么药方对单侧肺气肿 有用
长期单侧肺气肿不好 怎么解决
单侧肺气肿吃药好还是自然痊愈好?
各种单侧肺气肿症状和常识用药
单侧肺气肿后要吃些什么?注意些什么?
۩ 单侧肺气肿
۞ 单侧肺气肿的概述
۞ 单侧肺气肿的病因
۞ 单侧肺气肿的症状
۞ 单侧肺气肿的检查
۞ 单侧肺气肿的鉴别诊断
۞ 单侧肺气肿的并发症
۞ 单侧肺气肿的治疗
۞ 单侧肺气肿的预防
中医首页
疾病大全
药方功能
中医养生
中医药库
古今名医
中医医案
中医常识
中医问答
中医养生有道
中医白领养生
中医男人养生
中医女人养生
中医延年益寿
中医少儿益智
中医春季养生
中医夏季养生
中医秋季养生
中医冬季养生
中医美容
美容有方
明星美容秘方
中医祛斑
中医祛皱
中医祛痘
中医护发
中医美乳丰胸
中医美白
药膳食疗
食之有味
四季食疗
性福药膳
疾病食疗
美容药膳
减肥药膳
药粥
药酒
药茶
煲汤
中医减肥
中药减肥
针灸减肥
脐疗减肥
埋线减肥
小儿推拿
三伏天灸
动态前沿
误区提醒
针灸推拿
针刺艾灸
推拿按摩
刮痧
拔罐
耳穴奇谈
针灸美容
针灸减肥
疾病针灸
特色脐疗
望闻问切
四诊合参
小儿四诊
望神观色
五官五轮
听声闻味
百问其症
指上谈病
舌象图解
悬丝诊脉
© 2015-2016 vjvd.com All Rights Reserved.