新浪微博
关注微信
注册
登陆
阴阳平衡
中医健康之道
做福人世
♥单纯性肺嗜酸粒细胞浸润症
♥单纯性肺嗜酸粒细胞浸润症
♥病因学
♥病理改变
♥临床表现
♥诊断
♥治疗措施
♥检查化验
♥并发症
中医健道首页
>>单纯性肺嗜酸粒细胞浸润症概述
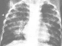
单纯性肺嗜酸粒细胞浸润症是怎么回事?吕弗琉于1932年首先描述本病,故又名吕弗琉综合征。其特点为游走性肺部浸润伴外周血嗜酸粒细胞计数增高,肺部症状轻微,多数仅有轻咳,病程呈自限性,常于3~4周内自行痊愈。本症很可能为肺泡的一过性变态反应,常见病因为寄生虫感染和药物反应。约有1/3患者未能查出病因。本病在某些地区呈季节性流行,故推测环境抗原因素在某些地区亦为可能的病因。[1]
【۩相关文章】
【☺用户提问】
单纯性肺嗜酸粒细胞浸润症是什么病?
什么叫做单纯性肺嗜酸粒细胞浸润症?
单纯性肺嗜酸粒细胞浸润症如何治疗?
单纯性肺嗜酸粒细胞浸润症怎么预防?
单纯性肺嗜酸粒细胞浸润症病因是什么?
单纯性肺嗜酸粒细胞浸润症吃什么药好?
单纯性肺嗜酸粒细胞浸润症吃什么好的快?
如何让单纯性肺嗜酸粒细胞浸润症好的快?
中医如何治疗单纯性肺嗜酸粒细胞浸润症?
西医如何治疗单纯性肺嗜酸粒细胞浸润症?
得了单纯性肺嗜酸粒细胞浸润症怎么办 需要怎么做?
吃什么食物对单纯性肺嗜酸粒细胞浸润症有好处?
单纯性肺嗜酸粒细胞浸润症的原因是什么?
人为什么会得单纯性肺嗜酸粒细胞浸润症?
单纯性肺嗜酸粒细胞浸润症要注意些什么?
单纯性肺嗜酸粒细胞浸润症要多久才能好?
单纯性肺嗜酸粒细胞浸润症严重,会导致什么?
怎么才能让单纯性肺嗜酸粒细胞浸润症快点好?
单纯性肺嗜酸粒细胞浸润症应该怎样做才能好得快?
单纯性肺嗜酸粒细胞浸润症不能吃那些东西?
单纯性肺嗜酸粒细胞浸润症了怎么样才能好受点?
如何才能快速的治愈单纯性肺嗜酸粒细胞浸润症?
单纯性肺嗜酸粒细胞浸润症有多少种?
单纯性肺嗜酸粒细胞浸润症时吃什么水果好?
单纯性肺嗜酸粒细胞浸润症需要注意些什么?
单纯性肺嗜酸粒细胞浸润症煲什么烫好吃
如何快速有效的治疗单纯性肺嗜酸粒细胞浸润症?
单纯性肺嗜酸粒细胞浸润症分哪几种类型?
如何防止单纯性肺嗜酸粒细胞浸润症?
什么偏方对单纯性肺嗜酸粒细胞浸润症 有用
得了单纯性肺嗜酸粒细胞浸润症有什么小秘方
什么药方对单纯性肺嗜酸粒细胞浸润症 有用
长期单纯性肺嗜酸粒细胞浸润症不好 怎么解决
单纯性肺嗜酸粒细胞浸润症吃药好还是自然痊愈好?
各种单纯性肺嗜酸粒细胞浸润症症状和常识用药
单纯性肺嗜酸粒细胞浸润症后要吃些什么?注意些什么?
۩ 单纯性肺嗜酸粒细胞浸润症
۞ 单纯性肺嗜酸粒细胞浸润症的概述
۞ 单纯性肺嗜酸粒细胞浸润症的单纯性肺嗜酸粒细胞浸润症
۞ 单纯性肺嗜酸粒细胞浸润症的病因学
۞ 单纯性肺嗜酸粒细胞浸润症的病理改变
۞ 单纯性肺嗜酸粒细胞浸润症的临床表现
۞ 单纯性肺嗜酸粒细胞浸润症的诊断
۞ 单纯性肺嗜酸粒细胞浸润症的治疗措施
۞ 单纯性肺嗜酸粒细胞浸润症的检查化验
۞ 单纯性肺嗜酸粒细胞浸润症的并发症
中医首页
疾病大全
药方功能
中医养生
中医药库
古今名医
中医医案
中医常识
中医问答
中医养生有道
中医白领养生
中医男人养生
中医女人养生
中医延年益寿
中医少儿益智
中医春季养生
中医夏季养生
中医秋季养生
中医冬季养生
中医美容
美容有方
明星美容秘方
中医祛斑
中医祛皱
中医祛痘
中医护发
中医美乳丰胸
中医美白
药膳食疗
食之有味
四季食疗
性福药膳
疾病食疗
美容药膳
减肥药膳
药粥
药酒
药茶
煲汤
中医减肥
中药减肥
针灸减肥
脐疗减肥
埋线减肥
小儿推拿
三伏天灸
动态前沿
误区提醒
针灸推拿
针刺艾灸
推拿按摩
刮痧
拔罐
耳穴奇谈
针灸美容
针灸减肥
疾病针灸
特色脐疗
望闻问切
四诊合参
小儿四诊
望神观色
五官五轮
听声闻味
百问其症
指上谈病
舌象图解
悬丝诊脉
© 2015-2016 vjvd.com All Rights Reserved.