新浪微博
关注微信
注册
登陆
阴阳平衡
中医健康之道
做福人世
♥胆固醇肺炎
♥疾病概述
♥症状体征
♥疾病病因
♥病理生理
♥诊断检查
♥鉴别诊断
♥治疗方案
♥并发症
♥预后预防
中医健道首页
>>胆固醇肺炎概述
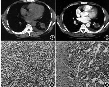
胆固醇肺炎是胆固醇长期沉积在肺内引起的一种慢性炎症,大致可分为原发及继发两种。继发者可因肺部慢性炎症、肺结核,脓肿、肿瘤、寄生虫,纤维化、胸部放疗后、粉尘刺激和重度吸烟等引起。
【۩相关文章】
【☺用户提问】
胆固醇肺炎是什么病?
什么叫做胆固醇肺炎?
胆固醇肺炎如何治疗?
胆固醇肺炎怎么预防?
胆固醇肺炎病因是什么?
胆固醇肺炎吃什么药好?
胆固醇肺炎吃什么好的快?
如何让胆固醇肺炎好的快?
中医如何治疗胆固醇肺炎?
西医如何治疗胆固醇肺炎?
得了胆固醇肺炎怎么办 需要怎么做?
吃什么食物对胆固醇肺炎有好处?
胆固醇肺炎的原因是什么?
人为什么会得胆固醇肺炎?
胆固醇肺炎要注意些什么?
胆固醇肺炎要多久才能好?
胆固醇肺炎严重,会导致什么?
怎么才能让胆固醇肺炎快点好?
胆固醇肺炎应该怎样做才能好得快?
胆固醇肺炎不能吃那些东西?
胆固醇肺炎了怎么样才能好受点?
如何才能快速的治愈胆固醇肺炎?
胆固醇肺炎有多少种?
胆固醇肺炎时吃什么水果好?
胆固醇肺炎需要注意些什么?
胆固醇肺炎煲什么烫好吃
如何快速有效的治疗胆固醇肺炎?
胆固醇肺炎分哪几种类型?
如何防止胆固醇肺炎?
什么偏方对胆固醇肺炎 有用
得了胆固醇肺炎有什么小秘方
什么药方对胆固醇肺炎 有用
长期胆固醇肺炎不好 怎么解决
胆固醇肺炎吃药好还是自然痊愈好?
各种胆固醇肺炎症状和常识用药
胆固醇肺炎后要吃些什么?注意些什么?
۩ 胆固醇肺炎
۞ 胆固醇肺炎的概述
۞ 胆固醇肺炎的疾病概述
۞ 胆固醇肺炎的症状体征
۞ 胆固醇肺炎的疾病病因
۞ 胆固醇肺炎的病理生理
۞ 胆固醇肺炎的诊断检查
۞ 胆固醇肺炎的鉴别诊断
۞ 胆固醇肺炎的治疗方案
۞ 胆固醇肺炎的并发症
۞ 胆固醇肺炎的预后预防
中医首页
疾病大全
药方功能
中医养生
中医药库
古今名医
中医医案
中医常识
中医问答
中医养生有道
中医白领养生
中医男人养生
中医女人养生
中医延年益寿
中医少儿益智
中医春季养生
中医夏季养生
中医秋季养生
中医冬季养生
中医美容
美容有方
明星美容秘方
中医祛斑
中医祛皱
中医祛痘
中医护发
中医美乳丰胸
中医美白
药膳食疗
食之有味
四季食疗
性福药膳
疾病食疗
美容药膳
减肥药膳
药粥
药酒
药茶
煲汤
中医减肥
中药减肥
针灸减肥
脐疗减肥
埋线减肥
小儿推拿
三伏天灸
动态前沿
误区提醒
针灸推拿
针刺艾灸
推拿按摩
刮痧
拔罐
耳穴奇谈
针灸美容
针灸减肥
疾病针灸
特色脐疗
望闻问切
四诊合参
小儿四诊
望神观色
五官五轮
听声闻味
百问其症
指上谈病
舌象图解
悬丝诊脉
© 2015-2016 vjvd.com All Rights Reserved.