新浪微博
关注微信
注册
登陆
阴阳平衡
中医健康之道
做福人世
♥多重肺部感染
♥概述
♥病因
♥临床表现
♥检查
♥诊断
♥并发症
♥治疗
♥护理
中医健道首页
>>多重肺部感染概述
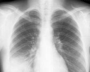
多重肺部感染(multiple microbial pulmonary infections)又称为混合性感染,指两种以上(含两种)病原微生物的肺部感染。多重感染严格意义上指多种病原体均是作为原发性,且是同时发生的感染,不包括一种病原体原发感染和继发另一种病原体感染。多重肺部感染无传染性、无特定感染人群,易引发间质性肺炎、视网膜炎等并发症。[1]
【۩相关文章】
【☺用户提问】
多重肺部感染是什么病?
什么叫做多重肺部感染?
多重肺部感染如何治疗?
多重肺部感染怎么预防?
多重肺部感染病因是什么?
多重肺部感染吃什么药好?
多重肺部感染吃什么好的快?
如何让多重肺部感染好的快?
中医如何治疗多重肺部感染?
西医如何治疗多重肺部感染?
得了多重肺部感染怎么办 需要怎么做?
吃什么食物对多重肺部感染有好处?
多重肺部感染的原因是什么?
人为什么会得多重肺部感染?
多重肺部感染要注意些什么?
多重肺部感染要多久才能好?
多重肺部感染严重,会导致什么?
怎么才能让多重肺部感染快点好?
多重肺部感染应该怎样做才能好得快?
多重肺部感染不能吃那些东西?
多重肺部感染了怎么样才能好受点?
如何才能快速的治愈多重肺部感染?
多重肺部感染有多少种?
多重肺部感染时吃什么水果好?
多重肺部感染需要注意些什么?
多重肺部感染煲什么烫好吃
如何快速有效的治疗多重肺部感染?
多重肺部感染分哪几种类型?
如何防止多重肺部感染?
什么偏方对多重肺部感染 有用
得了多重肺部感染有什么小秘方
什么药方对多重肺部感染 有用
长期多重肺部感染不好 怎么解决
多重肺部感染吃药好还是自然痊愈好?
各种多重肺部感染症状和常识用药
多重肺部感染后要吃些什么?注意些什么?
۩ 多重肺部感染
۞ 多重肺部感染的概述
۞ 多重肺部感染的概述
۞ 多重肺部感染的病因
۞ 多重肺部感染的临床表现
۞ 多重肺部感染的检查
۞ 多重肺部感染的诊断
۞ 多重肺部感染的并发症
۞ 多重肺部感染的治疗
۞ 多重肺部感染的护理
中医首页
疾病大全
药方功能
中医养生
中医药库
古今名医
中医医案
中医常识
中医问答
中医养生有道
中医白领养生
中医男人养生
中医女人养生
中医延年益寿
中医少儿益智
中医春季养生
中医夏季养生
中医秋季养生
中医冬季养生
中医美容
美容有方
明星美容秘方
中医祛斑
中医祛皱
中医祛痘
中医护发
中医美乳丰胸
中医美白
药膳食疗
食之有味
四季食疗
性福药膳
疾病食疗
美容药膳
减肥药膳
药粥
药酒
药茶
煲汤
中医减肥
中药减肥
针灸减肥
脐疗减肥
埋线减肥
小儿推拿
三伏天灸
动态前沿
误区提醒
针灸推拿
针刺艾灸
推拿按摩
刮痧
拔罐
耳穴奇谈
针灸美容
针灸减肥
疾病针灸
特色脐疗
望闻问切
四诊合参
小儿四诊
望神观色
五官五轮
听声闻味
百问其症
指上谈病
舌象图解
悬丝诊脉
© 2015-2016 vjvd.com All Rights Reserved.