新浪微博
关注微信
注册
登陆
阴阳平衡
中医健康之道
做福人世
♥恶性胸腔积液
♥病因
♥症状
♥检查
♥诊断
♥并发症
♥治疗
中医健道首页
>>恶性胸腔积液概述
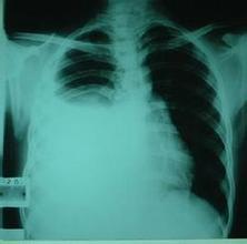
肿瘤性胸腔积液亦称恶性胸腔积液,大多数病例可以在胸腔积液中找到恶性细胞,如果胸腔积液伴纵隔或胸膜表面转移性结节,无论在胸腔积液中能否找到恶性细胞,均可以诊断恶性胸腔积液。
【۩相关文章】
【☺用户提问】
恶性胸腔积液是什么病?
什么叫做恶性胸腔积液?
恶性胸腔积液如何治疗?
恶性胸腔积液怎么预防?
恶性胸腔积液病因是什么?
恶性胸腔积液吃什么药好?
恶性胸腔积液吃什么好的快?
如何让恶性胸腔积液好的快?
中医如何治疗恶性胸腔积液?
西医如何治疗恶性胸腔积液?
得了恶性胸腔积液怎么办 需要怎么做?
吃什么食物对恶性胸腔积液有好处?
恶性胸腔积液的原因是什么?
人为什么会得恶性胸腔积液?
恶性胸腔积液要注意些什么?
恶性胸腔积液要多久才能好?
恶性胸腔积液严重,会导致什么?
怎么才能让恶性胸腔积液快点好?
恶性胸腔积液应该怎样做才能好得快?
恶性胸腔积液不能吃那些东西?
恶性胸腔积液了怎么样才能好受点?
如何才能快速的治愈恶性胸腔积液?
恶性胸腔积液有多少种?
恶性胸腔积液时吃什么水果好?
恶性胸腔积液需要注意些什么?
恶性胸腔积液煲什么烫好吃
如何快速有效的治疗恶性胸腔积液?
恶性胸腔积液分哪几种类型?
如何防止恶性胸腔积液?
什么偏方对恶性胸腔积液 有用
得了恶性胸腔积液有什么小秘方
什么药方对恶性胸腔积液 有用
长期恶性胸腔积液不好 怎么解决
恶性胸腔积液吃药好还是自然痊愈好?
各种恶性胸腔积液症状和常识用药
恶性胸腔积液后要吃些什么?注意些什么?
۩ 恶性胸腔积液
۞ 恶性胸腔积液的概述
۞ 恶性胸腔积液的病因
۞ 恶性胸腔积液的症状
۞ 恶性胸腔积液的检查
۞ 恶性胸腔积液的诊断
۞ 恶性胸腔积液的并发症
۞ 恶性胸腔积液的治疗
中医首页
疾病大全
药方功能
中医养生
中医药库
古今名医
中医医案
中医常识
中医问答
中医养生有道
中医白领养生
中医男人养生
中医女人养生
中医延年益寿
中医少儿益智
中医春季养生
中医夏季养生
中医秋季养生
中医冬季养生
中医美容
美容有方
明星美容秘方
中医祛斑
中医祛皱
中医祛痘
中医护发
中医美乳丰胸
中医美白
药膳食疗
食之有味
四季食疗
性福药膳
疾病食疗
美容药膳
减肥药膳
药粥
药酒
药茶
煲汤
中医减肥
中药减肥
针灸减肥
脐疗减肥
埋线减肥
小儿推拿
三伏天灸
动态前沿
误区提醒
针灸推拿
针刺艾灸
推拿按摩
刮痧
拔罐
耳穴奇谈
针灸美容
针灸减肥
疾病针灸
特色脐疗
望闻问切
四诊合参
小儿四诊
望神观色
五官五轮
听声闻味
百问其症
指上谈病
舌象图解
悬丝诊脉
© 2015-2016 vjvd.com All Rights Reserved.