新浪微博
关注微信
注册
登陆
阴阳平衡
中医健康之道
做福人世
♥放射性肺炎
♥放射性肺炎
♥疾病简介
♥症状
♥病因及发病机制
♥病理变化
♥诊断
♥治疗
♥治疗措施
♥预防常识
♥应该如何预防
♥家庭护理
♥并发症
中医健道首页
>>放射性肺炎概述
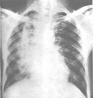
放射性肺炎是怎么回事?什么是放射性肺炎?放射性肺炎系由于肺癌、乳腺癌、食管癌、恶性淋巴瘤或胸部其他恶性肿瘤经放射治疗后,在放射野内的正常肺组织受到损伤而引起的炎症反应。轻者无症状,炎症可自行消散;重者肺脏发生广泛纤维化,导致呼吸功能损害,甚致呼吸衰竭。[1]
【۩相关文章】
【☺用户提问】
放射性肺炎是什么病?
什么叫做放射性肺炎?
放射性肺炎如何治疗?
放射性肺炎怎么预防?
放射性肺炎病因是什么?
放射性肺炎吃什么药好?
放射性肺炎吃什么好的快?
如何让放射性肺炎好的快?
中医如何治疗放射性肺炎?
西医如何治疗放射性肺炎?
得了放射性肺炎怎么办 需要怎么做?
吃什么食物对放射性肺炎有好处?
放射性肺炎的原因是什么?
人为什么会得放射性肺炎?
放射性肺炎要注意些什么?
放射性肺炎要多久才能好?
放射性肺炎严重,会导致什么?
怎么才能让放射性肺炎快点好?
放射性肺炎应该怎样做才能好得快?
放射性肺炎不能吃那些东西?
放射性肺炎了怎么样才能好受点?
如何才能快速的治愈放射性肺炎?
放射性肺炎有多少种?
放射性肺炎时吃什么水果好?
放射性肺炎需要注意些什么?
放射性肺炎煲什么烫好吃
如何快速有效的治疗放射性肺炎?
放射性肺炎分哪几种类型?
如何防止放射性肺炎?
什么偏方对放射性肺炎 有用
得了放射性肺炎有什么小秘方
什么药方对放射性肺炎 有用
长期放射性肺炎不好 怎么解决
放射性肺炎吃药好还是自然痊愈好?
各种放射性肺炎症状和常识用药
放射性肺炎后要吃些什么?注意些什么?
۩ 放射性肺炎
۞ 放射性肺炎的概述
۞ 放射性肺炎的放射性肺炎
۞ 放射性肺炎的疾病简介
۞ 放射性肺炎的症状
۞ 放射性肺炎的病因及发病机制
۞ 放射性肺炎的病理变化
۞ 放射性肺炎的诊断
۞ 放射性肺炎的治疗
۞ 放射性肺炎的治疗措施
۞ 放射性肺炎的预防常识
۞ 放射性肺炎的应该如何预防
۞ 放射性肺炎的家庭护理
۞ 放射性肺炎的并发症
中医首页
疾病大全
药方功能
中医养生
中医药库
古今名医
中医医案
中医常识
中医问答
中医养生有道
中医白领养生
中医男人养生
中医女人养生
中医延年益寿
中医少儿益智
中医春季养生
中医夏季养生
中医秋季养生
中医冬季养生
中医美容
美容有方
明星美容秘方
中医祛斑
中医祛皱
中医祛痘
中医护发
中医美乳丰胸
中医美白
药膳食疗
食之有味
四季食疗
性福药膳
疾病食疗
美容药膳
减肥药膳
药粥
药酒
药茶
煲汤
中医减肥
中药减肥
针灸减肥
脐疗减肥
埋线减肥
小儿推拿
三伏天灸
动态前沿
误区提醒
针灸推拿
针刺艾灸
推拿按摩
刮痧
拔罐
耳穴奇谈
针灸美容
针灸减肥
疾病针灸
特色脐疗
望闻问切
四诊合参
小儿四诊
望神观色
五官五轮
听声闻味
百问其症
指上谈病
舌象图解
悬丝诊脉
© 2015-2016 vjvd.com All Rights Reserved.