新浪微博
关注微信
注册
登陆
阴阳平衡
中医健康之道
做福人世
♥肺结核
♥病因
♥临床表现
♥检查
♥诊断
♥预防
♥鉴别诊断
♥治疗
中医健道首页
>>肺结核概述
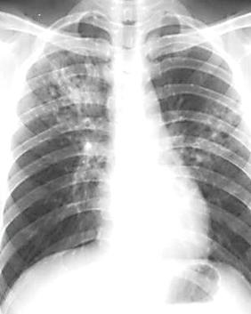
肺结核是由结核分枝杆菌引发的肺部感染性疾病,可侵及许多脏器,以肺部结核感染最为常见。排菌者为其重要的传染源。人体感染结核菌后不一定发病,当抵抗力降低或细胞介导的变态反应增高时,才可能引起临床发病。若能及时诊断,并予合理治疗,大多可获临床痊愈。肺结核是严重威胁人类健康的疾病。
病名:
肺结核
就诊科室:
呼吸内科
常见症状:
低热、盗汗、消瘦、乏力等
英文名:
pulmonary tuberculosis
常见发病:
肺
【۩相关文章】
在郑州六院治疗肺结核每天费用上千病情越加恶化,还有那些医院治疗效果显著
去医院检查是肺结核,可是我在每次吃完药后总是难爱,晕的不行,我是男性,今年三十岁,
河北省胸科医院治疗费肺结核疗效
我想问我刚做了肺结核皮试做了3天我有很大的红肿块有些痒我有些清痰胸口闷有些气短我害怕我
肺肿瘤与肺肿块跟肺结核,请解关键区别?
请问:我男朋友干咳快一个月了,也没有痰,除了干咳没任何症状,会是肺结核吗??
淋巴结核和肺结核的治疗是不是一样?
有关肺结核自愈
湖南省肺结核免费治疗机构
如何与肺结核患者工作?
太原哪个医院看肺结核看的比较好呢?
我是不是得了肺结核?
我和我男友都得了肺结核 能不能住在一起?
吃肺结核药有肌肉酸疼的副作用吗,
请问一下,我得了轻微的肺结核,但是在吃药,又马上要高考了,我想停药一个礼拜可以吗?
有肺结核(正在治疗中)会传染男朋友吗?
国家对肺结核病的治疗是不是免费的?
国家对肺结核病的治疗是不是免费的?
怎样确诊肺结核
胸片结果:两肺门散在斑点状钙化,考虑陈旧性肺结核钙化所致
我的症状是肺结核吗?如果不是会发展成肺结核吗?
【☺用户提问】
肺结核是什么病?
什么叫做肺结核?
肺结核如何治疗?
肺结核怎么预防?
肺结核病因是什么?
肺结核吃什么药好?
肺结核吃什么好的快?
如何让肺结核好的快?
中医如何治疗肺结核?
西医如何治疗肺结核?
得了肺结核怎么办 需要怎么做?
吃什么食物对肺结核有好处?
肺结核的原因是什么?
人为什么会得肺结核?
肺结核要注意些什么?
肺结核要多久才能好?
肺结核严重,会导致什么?
怎么才能让肺结核快点好?
肺结核应该怎样做才能好得快?
肺结核不能吃那些东西?
肺结核了怎么样才能好受点?
如何才能快速的治愈肺结核?
肺结核有多少种?
肺结核时吃什么水果好?
肺结核需要注意些什么?
肺结核煲什么烫好吃
如何快速有效的治疗肺结核?
肺结核分哪几种类型?
如何防止肺结核?
什么偏方对肺结核 有用
得了肺结核有什么小秘方
什么药方对肺结核 有用
长期肺结核不好 怎么解决
肺结核吃药好还是自然痊愈好?
各种肺结核症状和常识用药
肺结核后要吃些什么?注意些什么?
۩ 肺结核
۞ 肺结核的概述
۞ 肺结核的病因
۞ 肺结核的临床表现
۞ 肺结核的检查
۞ 肺结核的诊断
۞ 肺结核的预防
۞ 肺结核的鉴别诊断
۞ 肺结核的治疗
中医首页
疾病大全
药方功能
中医养生
中医药库
古今名医
中医医案
中医常识
中医问答
中医养生有道
中医白领养生
中医男人养生
中医女人养生
中医延年益寿
中医少儿益智
中医春季养生
中医夏季养生
中医秋季养生
中医冬季养生
中医美容
美容有方
明星美容秘方
中医祛斑
中医祛皱
中医祛痘
中医护发
中医美乳丰胸
中医美白
药膳食疗
食之有味
四季食疗
性福药膳
疾病食疗
美容药膳
减肥药膳
药粥
药酒
药茶
煲汤
中医减肥
中药减肥
针灸减肥
脐疗减肥
埋线减肥
小儿推拿
三伏天灸
动态前沿
误区提醒
针灸推拿
针刺艾灸
推拿按摩
刮痧
拔罐
耳穴奇谈
针灸美容
针灸减肥
疾病针灸
特色脐疗
望闻问切
四诊合参
小儿四诊
望神观色
五官五轮
听声闻味
百问其症
指上谈病
舌象图解
悬丝诊脉
© 2015-2016 vjvd.com All Rights Reserved.