新浪微博
关注微信
注册
登陆
阴阳平衡
中医健康之道
做福人世
♥肺疟疾病
♥疾病概述
♥疾病描述
♥症状体征
♥疾病病因
♥病理生理
♥诊断检查
♥鉴别诊断
♥治疗方案
♥并发症
♥预后及预防
♥流行病学
中医健道首页
>>肺疟疾病概述
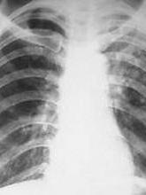
肺疟疾病[1]是指疟原虫对肺部的损害。机体被疟原虫感染后可有或无典型的疟疾全身症状同时出现明显的呼吸系统症状,如咳嗽、咳痰、气急、喘息或胸痛等。
【۩相关文章】
【☺用户提问】
肺疟疾病是什么病?
什么叫做肺疟疾病?
肺疟疾病如何治疗?
肺疟疾病怎么预防?
肺疟疾病病因是什么?
肺疟疾病吃什么药好?
肺疟疾病吃什么好的快?
如何让肺疟疾病好的快?
中医如何治疗肺疟疾病?
西医如何治疗肺疟疾病?
得了肺疟疾病怎么办 需要怎么做?
吃什么食物对肺疟疾病有好处?
肺疟疾病的原因是什么?
人为什么会得肺疟疾病?
肺疟疾病要注意些什么?
肺疟疾病要多久才能好?
肺疟疾病严重,会导致什么?
怎么才能让肺疟疾病快点好?
肺疟疾病应该怎样做才能好得快?
肺疟疾病不能吃那些东西?
肺疟疾病了怎么样才能好受点?
如何才能快速的治愈肺疟疾病?
肺疟疾病有多少种?
肺疟疾病时吃什么水果好?
肺疟疾病需要注意些什么?
肺疟疾病煲什么烫好吃
如何快速有效的治疗肺疟疾病?
肺疟疾病分哪几种类型?
如何防止肺疟疾病?
什么偏方对肺疟疾病 有用
得了肺疟疾病有什么小秘方
什么药方对肺疟疾病 有用
长期肺疟疾病不好 怎么解决
肺疟疾病吃药好还是自然痊愈好?
各种肺疟疾病症状和常识用药
肺疟疾病后要吃些什么?注意些什么?
۩ 肺疟疾病
۞ 肺疟疾病的概述
۞ 肺疟疾病的疾病概述
۞ 肺疟疾病的疾病描述
۞ 肺疟疾病的症状体征
۞ 肺疟疾病的疾病病因
۞ 肺疟疾病的病理生理
۞ 肺疟疾病的诊断检查
۞ 肺疟疾病的鉴别诊断
۞ 肺疟疾病的治疗方案
۞ 肺疟疾病的并发症
۞ 肺疟疾病的预后及预防
۞ 肺疟疾病的流行病学
中医首页
疾病大全
药方功能
中医养生
中医药库
古今名医
中医医案
中医常识
中医问答
中医养生有道
中医白领养生
中医男人养生
中医女人养生
中医延年益寿
中医少儿益智
中医春季养生
中医夏季养生
中医秋季养生
中医冬季养生
中医美容
美容有方
明星美容秘方
中医祛斑
中医祛皱
中医祛痘
中医护发
中医美乳丰胸
中医美白
药膳食疗
食之有味
四季食疗
性福药膳
疾病食疗
美容药膳
减肥药膳
药粥
药酒
药茶
煲汤
中医减肥
中药减肥
针灸减肥
脐疗减肥
埋线减肥
小儿推拿
三伏天灸
动态前沿
误区提醒
针灸推拿
针刺艾灸
推拿按摩
刮痧
拔罐
耳穴奇谈
针灸美容
针灸减肥
疾病针灸
特色脐疗
望闻问切
四诊合参
小儿四诊
望神观色
五官五轮
听声闻味
百问其症
指上谈病
舌象图解
悬丝诊脉
© 2015-2016 vjvd.com All Rights Reserved.