新浪微博
关注微信
注册
登陆
阴阳平衡
中医健康之道
做福人世
♥枸橼酸杆菌肺炎
♥概述
♥病因
♥临床表现
♥并发症
♥实验室检查
♥诊断
♥鉴别诊断
♥治疗
♥预防
中医健道首页
>>枸橼酸杆菌肺炎概述
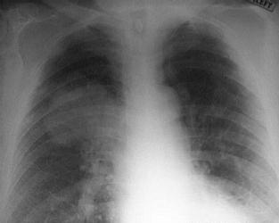
枸橼酸杆菌肺炎是由枸橼酸杆菌感染所致。枸橼酸杆菌为肠杆菌科枸橼酸杆菌属,它包括3种,即异型枸橼酸杆菌、弗劳地枸橼酸杆菌和无丙二酸枸橼酸杆菌。是医院常见的获得性感染,临床表现与一般急性细菌性肺炎相似。主要症状为畏寒、发热、咳嗽、咳黄痰或白黏痰、胸痛,呼吸困难。部分病人可有腹痛、腹泻等消化道症状。且该菌对多种抗生素耐药,治疗较困难,预后差。
【۩相关文章】
【☺用户提问】
枸橼酸杆菌肺炎是什么病?
什么叫做枸橼酸杆菌肺炎?
枸橼酸杆菌肺炎如何治疗?
枸橼酸杆菌肺炎怎么预防?
枸橼酸杆菌肺炎病因是什么?
枸橼酸杆菌肺炎吃什么药好?
枸橼酸杆菌肺炎吃什么好的快?
如何让枸橼酸杆菌肺炎好的快?
中医如何治疗枸橼酸杆菌肺炎?
西医如何治疗枸橼酸杆菌肺炎?
得了枸橼酸杆菌肺炎怎么办 需要怎么做?
吃什么食物对枸橼酸杆菌肺炎有好处?
枸橼酸杆菌肺炎的原因是什么?
人为什么会得枸橼酸杆菌肺炎?
枸橼酸杆菌肺炎要注意些什么?
枸橼酸杆菌肺炎要多久才能好?
枸橼酸杆菌肺炎严重,会导致什么?
怎么才能让枸橼酸杆菌肺炎快点好?
枸橼酸杆菌肺炎应该怎样做才能好得快?
枸橼酸杆菌肺炎不能吃那些东西?
枸橼酸杆菌肺炎了怎么样才能好受点?
如何才能快速的治愈枸橼酸杆菌肺炎?
枸橼酸杆菌肺炎有多少种?
枸橼酸杆菌肺炎时吃什么水果好?
枸橼酸杆菌肺炎需要注意些什么?
枸橼酸杆菌肺炎煲什么烫好吃
如何快速有效的治疗枸橼酸杆菌肺炎?
枸橼酸杆菌肺炎分哪几种类型?
如何防止枸橼酸杆菌肺炎?
什么偏方对枸橼酸杆菌肺炎 有用
得了枸橼酸杆菌肺炎有什么小秘方
什么药方对枸橼酸杆菌肺炎 有用
长期枸橼酸杆菌肺炎不好 怎么解决
枸橼酸杆菌肺炎吃药好还是自然痊愈好?
各种枸橼酸杆菌肺炎症状和常识用药
枸橼酸杆菌肺炎后要吃些什么?注意些什么?
۩ 枸橼酸杆菌肺炎
۞ 枸橼酸杆菌肺炎的概述
۞ 枸橼酸杆菌肺炎的概述
۞ 枸橼酸杆菌肺炎的病因
۞ 枸橼酸杆菌肺炎的临床表现
۞ 枸橼酸杆菌肺炎的并发症
۞ 枸橼酸杆菌肺炎的实验室检查
۞ 枸橼酸杆菌肺炎的诊断
۞ 枸橼酸杆菌肺炎的鉴别诊断
۞ 枸橼酸杆菌肺炎的治疗
۞ 枸橼酸杆菌肺炎的预防
中医首页
疾病大全
药方功能
中医养生
中医药库
古今名医
中医医案
中医常识
中医问答
中医养生有道
中医白领养生
中医男人养生
中医女人养生
中医延年益寿
中医少儿益智
中医春季养生
中医夏季养生
中医秋季养生
中医冬季养生
中医美容
美容有方
明星美容秘方
中医祛斑
中医祛皱
中医祛痘
中医护发
中医美乳丰胸
中医美白
药膳食疗
食之有味
四季食疗
性福药膳
疾病食疗
美容药膳
减肥药膳
药粥
药酒
药茶
煲汤
中医减肥
中药减肥
针灸减肥
脐疗减肥
埋线减肥
小儿推拿
三伏天灸
动态前沿
误区提醒
针灸推拿
针刺艾灸
推拿按摩
刮痧
拔罐
耳穴奇谈
针灸美容
针灸减肥
疾病针灸
特色脐疗
望闻问切
四诊合参
小儿四诊
望神观色
五官五轮
听声闻味
百问其症
指上谈病
舌象图解
悬丝诊脉
© 2015-2016 vjvd.com All Rights Reserved.