新浪微博
关注微信
注册
登陆
阴阳平衡
中医健康之道
做福人世
♥小儿肺泡性蛋白沉积症
♥概述
♥病因
♥临床表现
♥检查
♥诊断
♥治疗
中医健道首页
>>小儿肺泡性蛋白沉积症概述
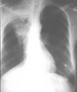
小儿肺泡性蛋白沉积症(pulmonary alveolar proteinosis,PAP)又称为肺泡磷脂沉着症,是一种原因不明的少见慢性肺疾病,为亚急性、进行性呼吸功能不良,肺泡内积聚富有黏蛋白物质及脂质的疾病。小儿肺泡性蛋白沉积症有致死性的先天性肺泡性蛋白沉积症和后天获得性的肺泡性蛋白沉积症。小儿肺泡性蛋白沉积症特点为肺泡内有富含脂质的糖原(PAS)染色阳性蛋白物质沉着,病在肺泡腔和气道内堆聚过量,致使肺的通气和换气功能受到严重影响,导致呼吸困难。[1]
【۩相关文章】
【☺用户提问】
小儿肺泡性蛋白沉积症是什么病?
什么叫做小儿肺泡性蛋白沉积症?
小儿肺泡性蛋白沉积症如何治疗?
小儿肺泡性蛋白沉积症怎么预防?
小儿肺泡性蛋白沉积症病因是什么?
小儿肺泡性蛋白沉积症吃什么药好?
小儿肺泡性蛋白沉积症吃什么好的快?
如何让小儿肺泡性蛋白沉积症好的快?
中医如何治疗小儿肺泡性蛋白沉积症?
西医如何治疗小儿肺泡性蛋白沉积症?
得了小儿肺泡性蛋白沉积症怎么办 需要怎么做?
吃什么食物对小儿肺泡性蛋白沉积症有好处?
小儿肺泡性蛋白沉积症的原因是什么?
人为什么会得小儿肺泡性蛋白沉积症?
小儿肺泡性蛋白沉积症要注意些什么?
小儿肺泡性蛋白沉积症要多久才能好?
小儿肺泡性蛋白沉积症严重,会导致什么?
怎么才能让小儿肺泡性蛋白沉积症快点好?
小儿肺泡性蛋白沉积症应该怎样做才能好得快?
小儿肺泡性蛋白沉积症不能吃那些东西?
小儿肺泡性蛋白沉积症了怎么样才能好受点?
如何才能快速的治愈小儿肺泡性蛋白沉积症?
小儿肺泡性蛋白沉积症有多少种?
小儿肺泡性蛋白沉积症时吃什么水果好?
小儿肺泡性蛋白沉积症需要注意些什么?
小儿肺泡性蛋白沉积症煲什么烫好吃
如何快速有效的治疗小儿肺泡性蛋白沉积症?
小儿肺泡性蛋白沉积症分哪几种类型?
如何防止小儿肺泡性蛋白沉积症?
什么偏方对小儿肺泡性蛋白沉积症 有用
得了小儿肺泡性蛋白沉积症有什么小秘方
什么药方对小儿肺泡性蛋白沉积症 有用
长期小儿肺泡性蛋白沉积症不好 怎么解决
小儿肺泡性蛋白沉积症吃药好还是自然痊愈好?
各种小儿肺泡性蛋白沉积症症状和常识用药
小儿肺泡性蛋白沉积症后要吃些什么?注意些什么?
۩ 小儿肺泡性蛋白沉积症
۞ 小儿肺泡性蛋白沉积症的概述
۞ 小儿肺泡性蛋白沉积症的概述
۞ 小儿肺泡性蛋白沉积症的病因
۞ 小儿肺泡性蛋白沉积症的临床表现
۞ 小儿肺泡性蛋白沉积症的检查
۞ 小儿肺泡性蛋白沉积症的诊断
۞ 小儿肺泡性蛋白沉积症的治疗
中医首页
疾病大全
药方功能
中医养生
中医药库
古今名医
中医医案
中医常识
中医问答
中医养生有道
中医白领养生
中医男人养生
中医女人养生
中医延年益寿
中医少儿益智
中医春季养生
中医夏季养生
中医秋季养生
中医冬季养生
中医美容
美容有方
明星美容秘方
中医祛斑
中医祛皱
中医祛痘
中医护发
中医美乳丰胸
中医美白
药膳食疗
食之有味
四季食疗
性福药膳
疾病食疗
美容药膳
减肥药膳
药粥
药酒
药茶
煲汤
中医减肥
中药减肥
针灸减肥
脐疗减肥
埋线减肥
小儿推拿
三伏天灸
动态前沿
误区提醒
针灸推拿
针刺艾灸
推拿按摩
刮痧
拔罐
耳穴奇谈
针灸美容
针灸减肥
疾病针灸
特色脐疗
望闻问切
四诊合参
小儿四诊
望神观色
五官五轮
听声闻味
百问其症
指上谈病
舌象图解
悬丝诊脉
© 2015-2016 vjvd.com All Rights Reserved.