新浪微博
关注微信
注册
登陆
阴阳平衡
中医健康之道
做福人世
♥新生儿先天性膈疝
♥原因
♥症状
♥检查
♥鉴别诊断
♥并发症
♥预防
♥治疗方法
中医健道首页
>>新生儿先天性膈疝概述
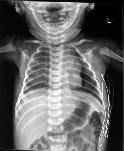
新生儿先天性膈疝(congenital diaphragmatic hernia,CDH)是由于胚胎时期膈肌闭合不全,至单侧或双侧膈肌缺陷,部分腹部脏器通过缺损处进入胸腔,造成解剖关系异常的一种疾病,分胸腹裂孔疝、食管裂孔疝和先天性胸骨后疝。
【۩相关文章】
【☺用户提问】
新生儿先天性膈疝是什么病?
什么叫做新生儿先天性膈疝?
新生儿先天性膈疝如何治疗?
新生儿先天性膈疝怎么预防?
新生儿先天性膈疝病因是什么?
新生儿先天性膈疝吃什么药好?
新生儿先天性膈疝吃什么好的快?
如何让新生儿先天性膈疝好的快?
中医如何治疗新生儿先天性膈疝?
西医如何治疗新生儿先天性膈疝?
得了新生儿先天性膈疝怎么办 需要怎么做?
吃什么食物对新生儿先天性膈疝有好处?
新生儿先天性膈疝的原因是什么?
人为什么会得新生儿先天性膈疝?
新生儿先天性膈疝要注意些什么?
新生儿先天性膈疝要多久才能好?
新生儿先天性膈疝严重,会导致什么?
怎么才能让新生儿先天性膈疝快点好?
新生儿先天性膈疝应该怎样做才能好得快?
新生儿先天性膈疝不能吃那些东西?
新生儿先天性膈疝了怎么样才能好受点?
如何才能快速的治愈新生儿先天性膈疝?
新生儿先天性膈疝有多少种?
新生儿先天性膈疝时吃什么水果好?
新生儿先天性膈疝需要注意些什么?
新生儿先天性膈疝煲什么烫好吃
如何快速有效的治疗新生儿先天性膈疝?
新生儿先天性膈疝分哪几种类型?
如何防止新生儿先天性膈疝?
什么偏方对新生儿先天性膈疝 有用
得了新生儿先天性膈疝有什么小秘方
什么药方对新生儿先天性膈疝 有用
长期新生儿先天性膈疝不好 怎么解决
新生儿先天性膈疝吃药好还是自然痊愈好?
各种新生儿先天性膈疝症状和常识用药
新生儿先天性膈疝后要吃些什么?注意些什么?
۩ 新生儿先天性膈疝
۞ 新生儿先天性膈疝的概述
۞ 新生儿先天性膈疝的原因
۞ 新生儿先天性膈疝的症状
۞ 新生儿先天性膈疝的检查
۞ 新生儿先天性膈疝的鉴别诊断
۞ 新生儿先天性膈疝的并发症
۞ 新生儿先天性膈疝的预防
۞ 新生儿先天性膈疝的治疗方法
中医首页
疾病大全
药方功能
中医养生
中医药库
古今名医
中医医案
中医常识
中医问答
中医养生有道
中医白领养生
中医男人养生
中医女人养生
中医延年益寿
中医少儿益智
中医春季养生
中医夏季养生
中医秋季养生
中医冬季养生
中医美容
美容有方
明星美容秘方
中医祛斑
中医祛皱
中医祛痘
中医护发
中医美乳丰胸
中医美白
药膳食疗
食之有味
四季食疗
性福药膳
疾病食疗
美容药膳
减肥药膳
药粥
药酒
药茶
煲汤
中医减肥
中药减肥
针灸减肥
脐疗减肥
埋线减肥
小儿推拿
三伏天灸
动态前沿
误区提醒
针灸推拿
针刺艾灸
推拿按摩
刮痧
拔罐
耳穴奇谈
针灸美容
针灸减肥
疾病针灸
特色脐疗
望闻问切
四诊合参
小儿四诊
望神观色
五官五轮
听声闻味
百问其症
指上谈病
舌象图解
悬丝诊脉
© 2015-2016 vjvd.com All Rights Reserved.