新浪微博
关注微信
注册
登陆
阴阳平衡
中医健康之道
做福人世
♥纵隔气肿
♥疾病概述
♥流行病学
♥疾病病因
♥发病机制
♥检查方法
♥临床表现
♥并 发 症
♥疾病诊断
♥鉴别诊断
♥疾病治疗
♥预防预后
中医健道首页
>>纵隔气肿概述
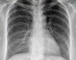
纵隔气肿(mediastinalemphysema)指气体在纵隔的结缔组织间隙内聚积 。该症多见于新生儿和婴幼儿文献报道发病率自0.04%~1%不等;成人亦不少见。成人男性发病多于女性。根据有诱发纵隔气肿的有关疾病史,有呼吸困难和胸骨后疼痛等症状,应考虑纵隔气肿的可能性;若尚有颈部和胸部皮下气肿、颈静脉充盈等体征,则应高度怀疑本症,并行胸部X线检查以明确诊断。
【۩相关文章】
【☺用户提问】
纵隔气肿是什么病?
什么叫做纵隔气肿?
纵隔气肿如何治疗?
纵隔气肿怎么预防?
纵隔气肿病因是什么?
纵隔气肿吃什么药好?
纵隔气肿吃什么好的快?
如何让纵隔气肿好的快?
中医如何治疗纵隔气肿?
西医如何治疗纵隔气肿?
得了纵隔气肿怎么办 需要怎么做?
吃什么食物对纵隔气肿有好处?
纵隔气肿的原因是什么?
人为什么会得纵隔气肿?
纵隔气肿要注意些什么?
纵隔气肿要多久才能好?
纵隔气肿严重,会导致什么?
怎么才能让纵隔气肿快点好?
纵隔气肿应该怎样做才能好得快?
纵隔气肿不能吃那些东西?
纵隔气肿了怎么样才能好受点?
如何才能快速的治愈纵隔气肿?
纵隔气肿有多少种?
纵隔气肿时吃什么水果好?
纵隔气肿需要注意些什么?
纵隔气肿煲什么烫好吃
如何快速有效的治疗纵隔气肿?
纵隔气肿分哪几种类型?
如何防止纵隔气肿?
什么偏方对纵隔气肿 有用
得了纵隔气肿有什么小秘方
什么药方对纵隔气肿 有用
长期纵隔气肿不好 怎么解决
纵隔气肿吃药好还是自然痊愈好?
各种纵隔气肿症状和常识用药
纵隔气肿后要吃些什么?注意些什么?
۩ 纵隔气肿
۞ 纵隔气肿的概述
۞ 纵隔气肿的疾病概述
۞ 纵隔气肿的流行病学
۞ 纵隔气肿的疾病病因
۞ 纵隔气肿的发病机制
۞ 纵隔气肿的检查方法
۞ 纵隔气肿的临床表现
۞ 纵隔气肿的并 发 症
۞ 纵隔气肿的疾病诊断
۞ 纵隔气肿的鉴别诊断
۞ 纵隔气肿的疾病治疗
۞ 纵隔气肿的预防预后
中医首页
疾病大全
药方功能
中医养生
中医药库
古今名医
中医医案
中医常识
中医问答
中医养生有道
中医白领养生
中医男人养生
中医女人养生
中医延年益寿
中医少儿益智
中医春季养生
中医夏季养生
中医秋季养生
中医冬季养生
中医美容
美容有方
明星美容秘方
中医祛斑
中医祛皱
中医祛痘
中医护发
中医美乳丰胸
中医美白
药膳食疗
食之有味
四季食疗
性福药膳
疾病食疗
美容药膳
减肥药膳
药粥
药酒
药茶
煲汤
中医减肥
中药减肥
针灸减肥
脐疗减肥
埋线减肥
小儿推拿
三伏天灸
动态前沿
误区提醒
针灸推拿
针刺艾灸
推拿按摩
刮痧
拔罐
耳穴奇谈
针灸美容
针灸减肥
疾病针灸
特色脐疗
望闻问切
四诊合参
小儿四诊
望神观色
五官五轮
听声闻味
百问其症
指上谈病
舌象图解
悬丝诊脉
© 2015-2016 vjvd.com All Rights Reserved.