新浪微博
关注微信
注册
登陆
阴阳平衡
中医健康之道
做福人世
♥妊娠合并慢性肾小球肾炎
♥流行病学
♥病因
♥发病机制
♥症状
♥鉴别诊断
♥检查
♥治疗
♥预后
中医健道首页
>>妊娠合并慢性肾小球肾炎概述
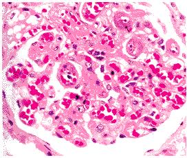
妊娠合并慢性肾小球肾炎是以双侧肾脏肾小球病变为主的一种肾脏原发性疾病,急性肾小球肾炎(急性肾炎)多与链球菌感染有关,慢性肾小球肾炎虽可由急性肾炎发展而来,但大多数慢性肾炎一开始就是如此,并非由急性肾炎转变而来。患有肾小球肾炎的妇女妊娠时肾脏的负担加重,影响肾脏功能,严重者常常危及孕妇和胎儿的生命,必须引起重视。病情轻者又常容易与妊娠高血压综合征相混淆,缺少应有的重视而贻误病情。[1]
【۩相关文章】
【☺用户提问】
妊娠合并慢性肾小球肾炎是什么病?
什么叫做妊娠合并慢性肾小球肾炎?
妊娠合并慢性肾小球肾炎如何治疗?
妊娠合并慢性肾小球肾炎怎么预防?
妊娠合并慢性肾小球肾炎病因是什么?
妊娠合并慢性肾小球肾炎吃什么药好?
妊娠合并慢性肾小球肾炎吃什么好的快?
如何让妊娠合并慢性肾小球肾炎好的快?
中医如何治疗妊娠合并慢性肾小球肾炎?
西医如何治疗妊娠合并慢性肾小球肾炎?
得了妊娠合并慢性肾小球肾炎怎么办 需要怎么做?
吃什么食物对妊娠合并慢性肾小球肾炎有好处?
妊娠合并慢性肾小球肾炎的原因是什么?
人为什么会得妊娠合并慢性肾小球肾炎?
妊娠合并慢性肾小球肾炎要注意些什么?
妊娠合并慢性肾小球肾炎要多久才能好?
妊娠合并慢性肾小球肾炎严重,会导致什么?
怎么才能让妊娠合并慢性肾小球肾炎快点好?
妊娠合并慢性肾小球肾炎应该怎样做才能好得快?
妊娠合并慢性肾小球肾炎不能吃那些东西?
妊娠合并慢性肾小球肾炎了怎么样才能好受点?
如何才能快速的治愈妊娠合并慢性肾小球肾炎?
妊娠合并慢性肾小球肾炎有多少种?
妊娠合并慢性肾小球肾炎时吃什么水果好?
妊娠合并慢性肾小球肾炎需要注意些什么?
妊娠合并慢性肾小球肾炎煲什么烫好吃
如何快速有效的治疗妊娠合并慢性肾小球肾炎?
妊娠合并慢性肾小球肾炎分哪几种类型?
如何防止妊娠合并慢性肾小球肾炎?
什么偏方对妊娠合并慢性肾小球肾炎 有用
得了妊娠合并慢性肾小球肾炎有什么小秘方
什么药方对妊娠合并慢性肾小球肾炎 有用
长期妊娠合并慢性肾小球肾炎不好 怎么解决
妊娠合并慢性肾小球肾炎吃药好还是自然痊愈好?
各种妊娠合并慢性肾小球肾炎症状和常识用药
妊娠合并慢性肾小球肾炎后要吃些什么?注意些什么?
۩ 妊娠合并慢性肾小球肾炎
۞ 妊娠合并慢性肾小球肾炎的概述
۞ 妊娠合并慢性肾小球肾炎的流行病学
۞ 妊娠合并慢性肾小球肾炎的病因
۞ 妊娠合并慢性肾小球肾炎的发病机制
۞ 妊娠合并慢性肾小球肾炎的症状
۞ 妊娠合并慢性肾小球肾炎的鉴别诊断
۞ 妊娠合并慢性肾小球肾炎的检查
۞ 妊娠合并慢性肾小球肾炎的治疗
۞ 妊娠合并慢性肾小球肾炎的预后
中医首页
疾病大全
药方功能
中医养生
中医药库
古今名医
中医医案
中医常识
中医问答
中医养生有道
中医白领养生
中医男人养生
中医女人养生
中医延年益寿
中医少儿益智
中医春季养生
中医夏季养生
中医秋季养生
中医冬季养生
中医美容
美容有方
明星美容秘方
中医祛斑
中医祛皱
中医祛痘
中医护发
中医美乳丰胸
中医美白
药膳食疗
食之有味
四季食疗
性福药膳
疾病食疗
美容药膳
减肥药膳
药粥
药酒
药茶
煲汤
中医减肥
中药减肥
针灸减肥
脐疗减肥
埋线减肥
小儿推拿
三伏天灸
动态前沿
误区提醒
针灸推拿
针刺艾灸
推拿按摩
刮痧
拔罐
耳穴奇谈
针灸美容
针灸减肥
疾病针灸
特色脐疗
望闻问切
四诊合参
小儿四诊
望神观色
五官五轮
听声闻味
百问其症
指上谈病
舌象图解
悬丝诊脉
© 2015-2016 vjvd.com All Rights Reserved.