新浪微博
关注微信
注册
登陆
阴阳平衡
中医健康之道
做福人世
♥妊娠合并肝硬化
♥流行病学
♥病因
♥发病机制
♥症状
♥治疗
♥生物修复疗法
♥日常饮食禁忌
♥治疗
中医健道首页
>>妊娠合并肝硬化概述
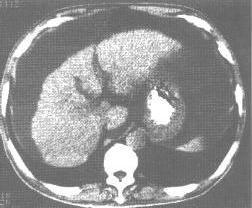
肝硬化(cirrhosis of licer)是一种由各种因素引起的弥散性,进行性的肝脏损害的疾病,肝细胞广泛的变性坏死,网状蛋白结构破坏,肝细胞结节再生,大量的结缔组织增生形成纤维分隔,形成假性肝小叶,肝脏萎缩变硬。临床以肝功能损害和门脉高压为主要表现,早期症状不明显,晚期出现消化道出血,肝性脑病、继发感染等严重并发症,危及母儿生命,以往报道妊娠合并肝硬化的孕产妇死亡率很高,过去不主张肝硬化患者继续妊娠。近年来肝硬化治疗方法的进步和围生期监测的加强,妊娠合并肝硬化可以有较好的预后。
【۩相关文章】
【☺用户提问】
妊娠合并肝硬化是什么病?
什么叫做妊娠合并肝硬化?
妊娠合并肝硬化如何治疗?
妊娠合并肝硬化怎么预防?
妊娠合并肝硬化病因是什么?
妊娠合并肝硬化吃什么药好?
妊娠合并肝硬化吃什么好的快?
如何让妊娠合并肝硬化好的快?
中医如何治疗妊娠合并肝硬化?
西医如何治疗妊娠合并肝硬化?
得了妊娠合并肝硬化怎么办 需要怎么做?
吃什么食物对妊娠合并肝硬化有好处?
妊娠合并肝硬化的原因是什么?
人为什么会得妊娠合并肝硬化?
妊娠合并肝硬化要注意些什么?
妊娠合并肝硬化要多久才能好?
妊娠合并肝硬化严重,会导致什么?
怎么才能让妊娠合并肝硬化快点好?
妊娠合并肝硬化应该怎样做才能好得快?
妊娠合并肝硬化不能吃那些东西?
妊娠合并肝硬化了怎么样才能好受点?
如何才能快速的治愈妊娠合并肝硬化?
妊娠合并肝硬化有多少种?
妊娠合并肝硬化时吃什么水果好?
妊娠合并肝硬化需要注意些什么?
妊娠合并肝硬化煲什么烫好吃
如何快速有效的治疗妊娠合并肝硬化?
妊娠合并肝硬化分哪几种类型?
如何防止妊娠合并肝硬化?
什么偏方对妊娠合并肝硬化 有用
得了妊娠合并肝硬化有什么小秘方
什么药方对妊娠合并肝硬化 有用
长期妊娠合并肝硬化不好 怎么解决
妊娠合并肝硬化吃药好还是自然痊愈好?
各种妊娠合并肝硬化症状和常识用药
妊娠合并肝硬化后要吃些什么?注意些什么?
۩ 妊娠合并肝硬化
۞ 妊娠合并肝硬化的概述
۞ 妊娠合并肝硬化的流行病学
۞ 妊娠合并肝硬化的病因
۞ 妊娠合并肝硬化的发病机制
۞ 妊娠合并肝硬化的症状
۞ 妊娠合并肝硬化的治疗
۞ 妊娠合并肝硬化的生物修复疗法
۞ 妊娠合并肝硬化的日常饮食禁忌
۞ 妊娠合并肝硬化的治疗
中医首页
疾病大全
药方功能
中医养生
中医药库
古今名医
中医医案
中医常识
中医问答
中医养生有道
中医白领养生
中医男人养生
中医女人养生
中医延年益寿
中医少儿益智
中医春季养生
中医夏季养生
中医秋季养生
中医冬季养生
中医美容
美容有方
明星美容秘方
中医祛斑
中医祛皱
中医祛痘
中医护发
中医美乳丰胸
中医美白
药膳食疗
食之有味
四季食疗
性福药膳
疾病食疗
美容药膳
减肥药膳
药粥
药酒
药茶
煲汤
中医减肥
中药减肥
针灸减肥
脐疗减肥
埋线减肥
小儿推拿
三伏天灸
动态前沿
误区提醒
针灸推拿
针刺艾灸
推拿按摩
刮痧
拔罐
耳穴奇谈
针灸美容
针灸减肥
疾病针灸
特色脐疗
望闻问切
四诊合参
小儿四诊
望神观色
五官五轮
听声闻味
百问其症
指上谈病
舌象图解
悬丝诊脉
© 2015-2016 vjvd.com All Rights Reserved.