新浪微博
关注微信
注册
登陆
阴阳平衡
中医健康之道
做福人世
♥输入袢综合征
♥定义
♥病因
♥临床表现
♥检查化验
♥鉴别诊断
♥并发症
♥诊断
♥治疗措施
♥预防
中医健道首页
>>输入袢综合征概述
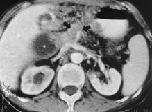
输入袢综合征(Afferent Loop Syndrome)系指BillrothⅡ式胃切除术、结肠前吻合术后,因输入袢发生梗阻引起胆汁或胰液的淤滞。有急性、慢性梗阻两种类型,前者多为完全性梗阻,后者为可复性、部分梗阻。
【۩相关文章】
【☺用户提问】
输入袢综合征是什么病?
什么叫做输入袢综合征?
输入袢综合征如何治疗?
输入袢综合征怎么预防?
输入袢综合征病因是什么?
输入袢综合征吃什么药好?
输入袢综合征吃什么好的快?
如何让输入袢综合征好的快?
中医如何治疗输入袢综合征?
西医如何治疗输入袢综合征?
得了输入袢综合征怎么办 需要怎么做?
吃什么食物对输入袢综合征有好处?
输入袢综合征的原因是什么?
人为什么会得输入袢综合征?
输入袢综合征要注意些什么?
输入袢综合征要多久才能好?
输入袢综合征严重,会导致什么?
怎么才能让输入袢综合征快点好?
输入袢综合征应该怎样做才能好得快?
输入袢综合征不能吃那些东西?
输入袢综合征了怎么样才能好受点?
如何才能快速的治愈输入袢综合征?
输入袢综合征有多少种?
输入袢综合征时吃什么水果好?
输入袢综合征需要注意些什么?
输入袢综合征煲什么烫好吃
如何快速有效的治疗输入袢综合征?
输入袢综合征分哪几种类型?
如何防止输入袢综合征?
什么偏方对输入袢综合征 有用
得了输入袢综合征有什么小秘方
什么药方对输入袢综合征 有用
长期输入袢综合征不好 怎么解决
输入袢综合征吃药好还是自然痊愈好?
各种输入袢综合征症状和常识用药
输入袢综合征后要吃些什么?注意些什么?
۩ 输入袢综合征
۞ 输入袢综合征的概述
۞ 输入袢综合征的定义
۞ 输入袢综合征的病因
۞ 输入袢综合征的临床表现
۞ 输入袢综合征的检查化验
۞ 输入袢综合征的鉴别诊断
۞ 输入袢综合征的并发症
۞ 输入袢综合征的诊断
۞ 输入袢综合征的治疗措施
۞ 输入袢综合征的预防
中医首页
疾病大全
药方功能
中医养生
中医药库
古今名医
中医医案
中医常识
中医问答
中医养生有道
中医白领养生
中医男人养生
中医女人养生
中医延年益寿
中医少儿益智
中医春季养生
中医夏季养生
中医秋季养生
中医冬季养生
中医美容
美容有方
明星美容秘方
中医祛斑
中医祛皱
中医祛痘
中医护发
中医美乳丰胸
中医美白
药膳食疗
食之有味
四季食疗
性福药膳
疾病食疗
美容药膳
减肥药膳
药粥
药酒
药茶
煲汤
中医减肥
中药减肥
针灸减肥
脐疗减肥
埋线减肥
小儿推拿
三伏天灸
动态前沿
误区提醒
针灸推拿
针刺艾灸
推拿按摩
刮痧
拔罐
耳穴奇谈
针灸美容
针灸减肥
疾病针灸
特色脐疗
望闻问切
四诊合参
小儿四诊
望神观色
五官五轮
听声闻味
百问其症
指上谈病
舌象图解
悬丝诊脉
© 2015-2016 vjvd.com All Rights Reserved.