新浪微博
关注微信
注册
登陆
阴阳平衡
中医健康之道
做福人世
♥乙型肝炎病毒相关性肾炎
♥疾病概述
♥疾病描述
♥症状体征
♥诊断标准
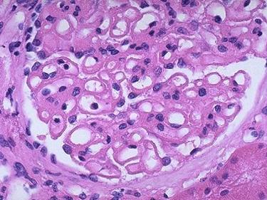
♥病理生理
♥诊断检查
♥鉴别诊断
♥并发症
♥治疗方案
♥安全提示
中医健道首页
>>乙型肝炎病毒相关性肾炎概述
乙型病毒性肝炎(简称乙肝)是由乙型肝炎病毒(HBV)传染的疾病。HBV导致的肾小球肾炎,称为乙型肝炎病毒相关肾炎(hepatitis b virus associated nephritis),简称HBV相关性肾炎,它是HBV感染后的一种主要的肝外脏器病变。[1]
【۩相关文章】
【☺用户提问】
乙型肝炎病毒相关性肾炎是什么病?
什么叫做乙型肝炎病毒相关性肾炎?
乙型肝炎病毒相关性肾炎如何治疗?
乙型肝炎病毒相关性肾炎怎么预防?
乙型肝炎病毒相关性肾炎病因是什么?
乙型肝炎病毒相关性肾炎吃什么药好?
乙型肝炎病毒相关性肾炎吃什么好的快?
如何让乙型肝炎病毒相关性肾炎好的快?
中医如何治疗乙型肝炎病毒相关性肾炎?
西医如何治疗乙型肝炎病毒相关性肾炎?
得了乙型肝炎病毒相关性肾炎怎么办 需要怎么做?
吃什么食物对乙型肝炎病毒相关性肾炎有好处?
乙型肝炎病毒相关性肾炎的原因是什么?
人为什么会得乙型肝炎病毒相关性肾炎?
乙型肝炎病毒相关性肾炎要注意些什么?
乙型肝炎病毒相关性肾炎要多久才能好?
乙型肝炎病毒相关性肾炎严重,会导致什么?
怎么才能让乙型肝炎病毒相关性肾炎快点好?
乙型肝炎病毒相关性肾炎应该怎样做才能好得快?
乙型肝炎病毒相关性肾炎不能吃那些东西?
乙型肝炎病毒相关性肾炎了怎么样才能好受点?
如何才能快速的治愈乙型肝炎病毒相关性肾炎?
乙型肝炎病毒相关性肾炎有多少种?
乙型肝炎病毒相关性肾炎时吃什么水果好?
乙型肝炎病毒相关性肾炎需要注意些什么?
乙型肝炎病毒相关性肾炎煲什么烫好吃
如何快速有效的治疗乙型肝炎病毒相关性肾炎?
乙型肝炎病毒相关性肾炎分哪几种类型?
如何防止乙型肝炎病毒相关性肾炎?
什么偏方对乙型肝炎病毒相关性肾炎 有用
得了乙型肝炎病毒相关性肾炎有什么小秘方
什么药方对乙型肝炎病毒相关性肾炎 有用
长期乙型肝炎病毒相关性肾炎不好 怎么解决
乙型肝炎病毒相关性肾炎吃药好还是自然痊愈好?
各种乙型肝炎病毒相关性肾炎症状和常识用药
乙型肝炎病毒相关性肾炎后要吃些什么?注意些什么?
۩ 乙型肝炎病毒相关性肾炎
۞ 乙型肝炎病毒相关性肾炎的概述
۞ 乙型肝炎病毒相关性肾炎的疾病概述
۞ 乙型肝炎病毒相关性肾炎的疾病描述
۞ 乙型肝炎病毒相关性肾炎的症状体征
۞ 乙型肝炎病毒相关性肾炎的诊断标准
۞ 乙型肝炎病毒相关性肾炎的病理生理
۞ 乙型肝炎病毒相关性肾炎的诊断检查
۞ 乙型肝炎病毒相关性肾炎的鉴别诊断
۞ 乙型肝炎病毒相关性肾炎的并发症
۞ 乙型肝炎病毒相关性肾炎的治疗方案
۞ 乙型肝炎病毒相关性肾炎的安全提示
中医首页
疾病大全
药方功能
中医养生
中医药库
古今名医
中医医案
中医常识
中医问答
中医养生有道
中医白领养生
中医男人养生
中医女人养生
中医延年益寿
中医少儿益智
中医春季养生
中医夏季养生
中医秋季养生
中医冬季养生
中医美容
美容有方
明星美容秘方
中医祛斑
中医祛皱
中医祛痘
中医护发
中医美乳丰胸
中医美白
药膳食疗
食之有味
四季食疗
性福药膳
疾病食疗
美容药膳
减肥药膳
药粥
药酒
药茶
煲汤
中医减肥
中药减肥
针灸减肥
脐疗减肥
埋线减肥
小儿推拿
三伏天灸
动态前沿
误区提醒
针灸推拿
针刺艾灸
推拿按摩
刮痧
拔罐
耳穴奇谈
针灸美容
针灸减肥
疾病针灸
特色脐疗
望闻问切
四诊合参
小儿四诊
望神观色
五官五轮
听声闻味
百问其症
指上谈病
舌象图解
悬丝诊脉
© 2015-2016 vjvd.com All Rights Reserved.